如果操作不当或患者个体差异等原因,扩弓矫正也可能存在潜在危害,如牙齿酸胀疼痛、口腔黏膜损伤、牙齿松动、咬合关系异常等。

1、牙齿酸胀与疼痛:
- 在扩弓器佩戴初期,牙齿和牙周组织会受到扩弓力的作用,导致牙齿出现酸胀、疼痛的感觉。
- 不适感通常在佩戴后的1-2周内较为明显,随着牙齿逐渐适应扩弓力,症状会逐渐减轻。
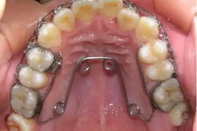
2、口腔黏膜损伤:
- 扩弓器需要长期固定在口腔内,如果扩弓器的部件如支抗钉、带环、扩弓螺旋等与口腔黏膜接触的部位不够光滑,或者佩戴不合适,容易对口腔黏膜造成摩擦、刺激和损伤。
- 扩弓器的边缘可能会摩擦颊黏膜、唇黏膜和舌体,导致口腔溃疡、黏膜糜烂、出血等症状。
3、牙齿松动:
- 如果扩弓力过大或加力过快,超过牙周组织的承受能力,可能会导致牙齿松动。牙齿松动会影响牙齿的正常咀嚼功能,增加牙齿脱落的风险。
4、咬合关系异常:
- 扩弓后如果没有进行精细的调整和咬合重建,可能会导致咬合关系紊乱,咬合关系异常会影响咀嚼效率,加重颞下颌关节的负担,长期可能会导致颞下颌关节疾病。
5、复发风险
- 扩弓矫正后的效果并非一劳永逸,如果矫正后没有佩戴足够时间的保持器,或者患者存在不良的口腔习惯如咬唇、吮指、吐舌等,可能会导致扩弓效果不稳定,牙齿出现复发,重新回到拥挤的状态。
扩弓矫正牙齿虽然存在一定的危害风险,但只要在专业医生的指导下,严格遵循治疗流程和注意事项,危害大多可以避免或降低,从而达到理想的矫正效果。

