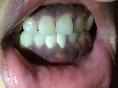
正常牙龈呈粉红色,质地坚韧,边缘菲薄且紧贴牙颈部。当牙龈颜色发生紫黑色变化时,往往提示存在潜在的健康问题,需要加以重视。其成因较为复杂,包括局部因素、全身因素等。

1、局部因素:
- 牙结石与牙菌斑堆积:长期不注重口腔卫生,会使牙菌斑、食物残渣等在牙齿表面和牙龈边缘逐渐堆积,进而矿化形成牙结石。牙结石粗糙的表面不仅为更多细菌滋生提供温床,其本身的存在还会持续刺激牙龈组织,引发炎症,导致牙龈局部血液循环受阻,出现淤血,从而使牙龈呈现紫黑色。
- 不良修复体刺激:不合适的假牙、牙套等修复装置,可能会对牙龈产生过度的压迫和摩擦。长时间的不良刺激会导致牙龈局部组织损伤,血液循环不畅,引起牙龈颜色改变。
2、全身因素:
- 血液系统疾病:某些血液系统疾病,如血小板减少性紫癜、白血病等,会影响血液的凝血功能和成分。血小板减少使得凝血机制异常,牙龈容易出血,出血后血液在牙龈组织内淤积,可导致牙龈呈现紫黑色。
- 重金属中毒:长期接触铅、汞等重金属,可能会导致重金属在体内蓄积,引起中毒反应。重金属会干扰细胞的正常代谢和功能,影响牙龈组织的健康,使牙龈边缘出现蓝黑色或紫黑色的色素沉着带,即“铅线”“汞线”。一旦怀疑重金属中毒,应立即脱离接触源,并及时就医。
另外长期吸烟的人,烟雾中的有害物质如尼古丁、焦油等会持续刺激牙龈组织,使牙龈毛细血管收缩,血液循环变差,同时有害物质会在牙龈表面沉积,导致牙龈颜色变深,呈现紫黑色。部分人群由于遗传、内分泌等因素,会出现牙龈生理性色素沉着,导致牙龈颜色偏深,呈现紫黑色。
牙龈紫黑色的相关检查
- 口腔医生会进行详细的口腔视诊,仔细观察牙龈紫黑色的范围、色泽均匀度、边界是否清晰等特征,同时查看牙龈有无肿胀、出血、溃疡等其他病变。血常规检查可了解白细胞、红细胞、血小板等指标情况,排查血液系统疾病。若怀疑重金属中毒,需进行血铅、血汞等重金属含量检测,以明确是否存在重金属超标。
- 此外,凝血功能检查对于判断血液的凝血状态,确定是否因凝血异常导致牙龈出血、淤血而呈现紫黑色具有重要意义。对于怀疑全身疾病累及牙龈的情况,可能需要进一步检查。如怀疑内分泌因素导致的牙龈色素沉着,可进行激素水平检测,评估内分泌功能。若考虑自身免疫性疾病影响牙龈健康,可进行自身免疫抗体检测。

