牙齿内部表面发黑是多种因素共同作用的结果,包括食物色素沉着、龋齿、牙髓坏死、氟斑牙等,建议在医生的指导下进行处理。

1、食物色素沉着:长期饮用咖啡、浓茶、红酒等深色饮品,或食用巧克力、蓝莓等富含色素的食物,色素会逐渐附着在牙齿内部表面。吸烟人群中,烟草燃烧产生的焦油等物质也容易沉积在牙齿表面,形成黑色烟斑,使牙齿颜色改变。
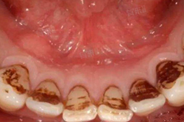
2、龋齿:口腔中的细菌利用食物残渣中的糖分产酸,逐渐腐蚀牙齿硬组织。当龋坏发生在牙齿内部表面时,细菌及其代谢产物、被破坏的牙体组织混合,使龋洞部位呈现黑色。随着龋坏加深,牙齿结构被进一步破坏,黑色区域会逐渐扩大。
3、牙髓坏死:由于外伤等原因导致牙髓感染,牙髓组织逐渐坏死。坏死的牙髓会分解产生一些有色物质,通过牙本质小管扩散到牙齿表面,使牙齿内部表面发黑。这种情况下,牙齿通常还会伴随牙髓活力丧失、牙齿变脆等症状。
4、氟斑牙:在牙齿发育矿化期间,长期摄入过量的氟,会导致牙釉质发育不全。氟斑牙患者的牙齿表面会出现白垩色或黄褐色斑块,严重时可呈黑色。这是因为过量的氟影响了牙釉质晶体的正常形成和矿化,使牙齿结构和颜色发生改变。
5、四环素牙:在牙齿发育阶段,若服用四环素类药物,药物会与牙齿硬组织中的钙结合,形成稳定的四环素-钙复合物,沉积在牙本质中,导致牙齿变色,从最初的黄色逐渐变为棕色、灰色甚至黑色,且牙齿内部表面的黑色更为明显。
另外,口腔中的细菌、食物残渣与唾液中的矿物质不断混合、钙化,可能在牙齿表面逐渐形成牙结石。而牙结石如果长时间未清理,会从最初的淡黄色逐渐变为棕黑色,尤其是在牙齿内部表面、牙龈边缘等不易清洁的部位,牙结石更容易堆积并变色。
牙齿内部表面发黑的治疗
- 对于色素沉着导致的发黑,可通过洗牙去除牙齿表面的色素和牙结石;冷光美白、皓齿美白等美白技术能有效分解牙齿内部色素,改善牙齿色泽。若是龋齿引起,需去除龋坏组织,根据龋坏程度选择补牙材料填充修复。牙髓坏死引发的牙齿发黑,要先进行根管治疗,清除坏死牙髓,再通过内漂白或全冠修复改善外观。
- 氟斑牙和四环素牙,轻度可采用冷光美白治疗;中度可采用牙齿贴面修复,遮盖变色牙体;重度则需考虑烤瓷冠或全瓷冠修复。牙结石导致的发黑,洗牙是主要治疗手段,洗牙后还需注意口腔卫生,防止牙结石再次形成。

