牙齿侧面有个洞多数情况下是能够进行修补的。现代口腔医疗技术成熟,针对各类牙洞问题都有相应解决办法。不过,能否补牙以及补牙方式,需综合考量牙洞的具体状况,如大小、深度、位置,还有牙齿牙髓的状态等因素,以此确定最适宜的治疗方案。

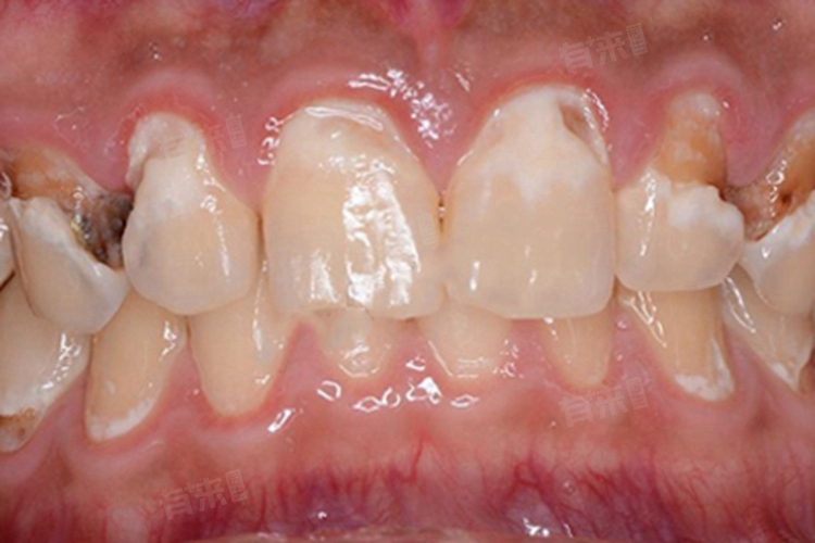
- 牙洞大小是决定补牙可行性的重要因素,若牙洞较小,仅累及牙齿表面釉质层,尚未深入牙本质,此时补牙相对简单。医生一般使用专业牙科器械,如牙钻,去除龋坏组织,然后选用合适补牙材料,如树脂材料,填充牙洞,恢复牙齿外形与功能,补牙效果通常较为理想,患者也不会有明显不适。
- 牙洞位置对补牙操作有较大影响,若洞位于牙齿侧面较浅部位,操作空间相对充足,医生能清晰观察并方便操作,补牙过程顺利。但当洞处于牙齿邻面等隐蔽位置,补牙难度增加。医生需借助特殊器械,如牙科探针、邻面成型片等,在狭小空间内精准去除龋坏组织并填充材料,以确保补牙效果,防止出现食物嵌塞等问题。
- 牙髓状态至关重要,若牙洞较深,细菌可能已侵入牙髓,引发牙髓炎。此时直接补牙无法解决根本问题,需先进行根管治疗。医生会打开牙髓腔,清除感染牙髓组织,消毒根管后进行填充。待炎症消除,再考虑补牙。若未正确判断牙髓状态就盲目补牙,可能导致疼痛加剧、炎症扩散等不良后果。
牙齿自身状况也需考虑,若牙齿因牙周病等原因松动严重,即便牙洞能补,补后效果也不佳。因牙齿不稳定,补牙材料易脱落,且可能影响咀嚼功能。这种情况下,需先治疗牙周病,稳固牙齿,再评估补牙可行性,保障补牙效果与口腔健康。
补牙前后的关键注意要点
1、补牙前充分准备:补牙前,患者需前往正规口腔医院进行全面检查。医生通过口腔X光片,详细了解牙洞位置、大小、深度以及与牙髓的关系,制定精准补牙方案。患者要如实告知医生自身健康状况,包括是否患有糖尿病、心脏病等慢性疾病,是否正在服用药物等。若患有慢性疾病,需在病情稳定且经医生评估后,方可进行补牙。
2、补牙后精心护理:补牙后,患者需严格遵循医嘱护理牙齿。补牙后24小时内,避免用补牙侧咀嚼食物,防止补牙材料脱落。注意口腔清洁,每天早晚使用软毛牙刷,采用巴氏刷牙法认真刷牙,饭后及时用清水或漱口水漱口,清除口腔内食物残渣,保持口腔清洁卫生,降低继发龋风险。避免食用过硬、过黏食物,减少对补牙材料的损伤,延长补牙材料使用寿命。

