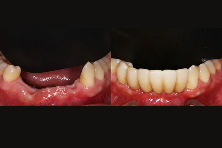
半口牙种植的费用通常在3-10万元不等,但这并非一个固定的数字,而是受到多种因素的共同影响。这些因素包括种植体的选择、牙冠的类型、手术及相关治疗费用等。

1、种植体的选择:如欧美品牌,其技术和质量都处于领先水平,半口种植使用这类种植体的费用大约在3万-8万元。随着国内种植技术的发展,国产种植体的性能也在不断提升,半口种植的价格大概在1万-5万元。
2、牙冠的类型:烤瓷牙冠价格相对较为经济,半口烤瓷牙冠的费用约在1万-2万元。全瓷牙冠在美观和生物相容性方面表现出色,半口全瓷牙冠的费用通常在2万-4万元。
3、手术及相关治疗费用:术前评估包括口腔全面检查、CT扫描、制定治疗方案等,这部分费用大概在3000-6000元。半口牙种植手术较为复杂,涉及麻醉、种植体植入等,费用约在1.5万-3万元。术后康复包括药物、复诊、调整等,费用约在3000-5000元。
此外,若牙槽骨骨量不足,需要进行骨增量手术,如植骨或骨粉填充,这会额外增加1万-3万元的费用。而一线城市或大型口腔专科医院的收费可能较高,而二三线城市或小型诊所的费用相对较低。半口牙种植的价格差异可能在1万-3万元。
需要注意的是,这只是一个大致的估算,实际费用会因个人具体情况和所选医疗机构的不同而有所变化。同时,日常注重口腔保健,有助于维护口腔健康,减少牙齿缺失的风险和种植的需求。

