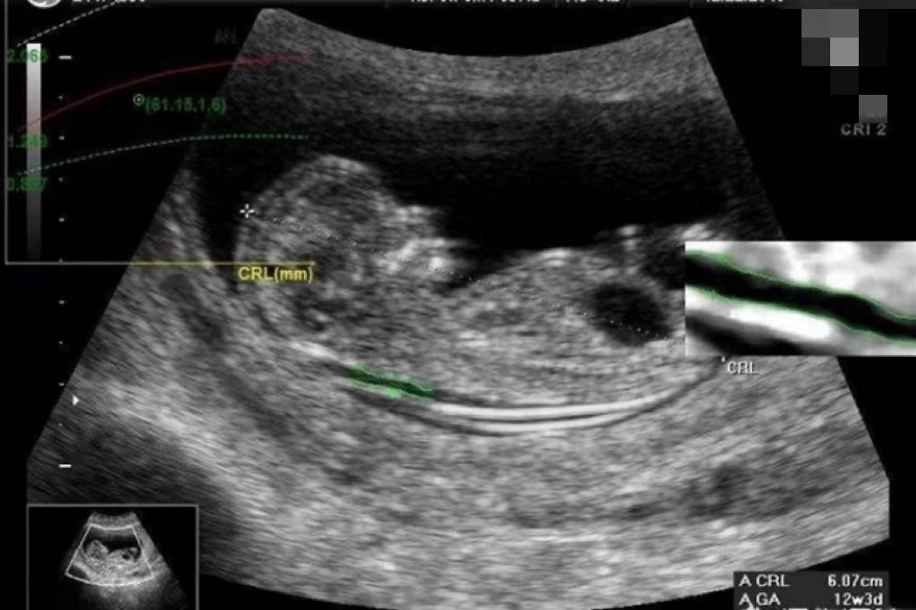
nt即NT,通常指NT检查,全称叫做胎儿颈项透明层检查,是产前必做的一项重要检查,其目的在于筛查胎儿严重的畸形及遗传变异。NT检查可以检查胎儿颈项透明层厚、胎儿大体结构等。

1、胎儿颈项透明层厚度:NT检查主要是通过B超测量胎儿颈部皮肤层到皮下软组织间的无回声区,即颈项透明层的厚度。这个厚度可以反映胎儿颈后部皮下组织内液体积聚的情况,是评估胎儿是否存在发育异常的重要指标。
2、胎儿大体结构:除了测量NT厚度外,NT检查还会对胎儿已经发育成型的结构进行筛检,如观察胎儿是否存在颅脑畸形、明显的肢体缺失等严重畸形。
NT检查的最佳时间是在妊娠11至13周+6天之间,在这个时间段内,胎儿颈部淋巴管与颈静脉窦相通,少量淋巴液积聚在颈部,形成暂时性的颈部透明带,这为NT检查提供了良好的观察条件。
NT检查结果的正常值范围与检查时的孕周有关,一般来说,如果检查时的孕周在11至12周之间,NT检查结果的正常值应小于2.5mm。如果检查时的孕周大于12周但不超过13周+6天,NT检查结果的正常值应小于3.0mm。需要注意的是,不同医院或机构可能采用的标准略有不同。
如果NT检查结果大于或等于2.5mm,则提示NT增厚,这可能意味着胎儿存在染色体异常或结构畸形的风险增加。此时,需要进一步进行产前诊断以明确胎儿的健康状况。

