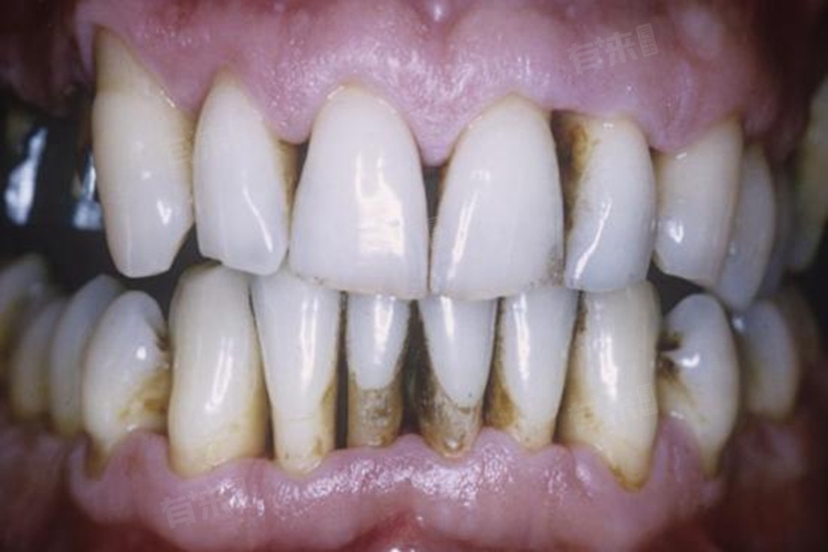
下门牙龈萎缩由多种因素导致,并非单一病因引起。一般情况下,刷牙方式不当、牙周疾病侵袭等,都可能引发下门牙龈萎缩,了解这些诱因对预防和改善症状较为重要。

1、刷牙方式不当:
横向大力刷牙或使用过硬牙刷,长期机械性摩擦损伤牙龈与牙体组织,导致牙龈退缩。错误刷牙习惯破坏牙周组织,使牙龈逐渐失去支撑,暴露牙根表面。
2、牙周疾病侵袭:
牙菌斑、牙结石长期堆积刺激牙龈,引发牙周炎。炎症持续发展,破坏牙周膜与牙槽骨,导致牙龈附着丧失,出现进行性萎缩,常伴随牙龈红肿、出血等症状。
3、不良修复体刺激:
不合适的假牙、牙套或充填物边缘不密合,持续压迫刺激牙龈组织。长期慢性刺激阻碍血液循环,引发牙龈炎症,进而造成牙龈萎缩。
4、牙齿咬合异常:
牙齿错位、咬合创伤使下门牙受力不均,局部牙龈长期承受过大咬合压力。牙周组织受异常应力作用,逐渐发生退缩,导致牙根暴露。
5、增龄性变化:
随着年龄增长,牙龈上皮变薄,牙槽骨骨质逐渐流失,出现生理性萎缩。这种变化相对缓慢,多表现为全口牙龈均匀退缩,牙齿间隙逐渐增大。
发现下门牙龈萎缩应及时就医检查病因,纠正错误刷牙习惯,定期洁牙清除牙结石。日常注意口腔卫生,避免使用劣质修复体,定期进行口腔检查,延缓牙龈萎缩进展,维护牙周健康。
下门牙龈萎缩怎么治疗
- 优化口腔清洁:采用巴氏刷牙法,确保刷毛与牙面呈45度角,轻柔震颤清洁牙龈边缘,避免横向拉锯式刷牙损伤牙龈。使用牙间隙刷清理牙缝,去除牙菌斑,减少细菌对牙龈的刺激。
- 调整日常习惯:减少使用牙签剔牙,改用牙线避免损伤牙龈乳头。控制咬硬物频率,避免过度咀嚼加重牙周负担。戒烟或减少吸烟量,降低烟草对牙龈组织的不良影响。
- 进行物理护理:每日饭后用温盐水含漱,促进牙龈血液循环,增强组织抵抗力。选择抗敏感、含氟牙膏,强化牙釉质,减缓牙龈萎缩进程。按摩牙龈,以指腹轻柔打圈,改善局部营养供应。

