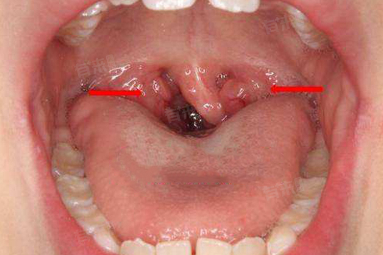
儿童扁桃体肥大在大多数情况下可以得到有效管理和治愈的, 扁桃体肥大在儿童中较为常见,通常是由于感染、免疫反应或遗传因素导致,合理的治疗和日常护理对于控制病情、缓解症状乃至促进扁桃体恢复正常大小具有关键作用。

- 当肥大是由于急性感染,如扁桃体炎引起时,通过及时的抗生素治疗和充足的休息,炎症消退后扁桃体可能恢复到正常大小,对于轻度肥大且未引起明显症状的儿童,医生可能会建议采取观察策略,通过增强免疫力、避免反复感染等方法来控制病情发展,所以此时可以自然缓解或通过保守治疗治愈。
- 但也有一些情况下扁桃体肥大难以自行恢复,可能需要手术干预,如扁桃体肥大严重,导致气道狭窄、呼吸困难、睡眠呼吸暂停等症状,或者反复发作的扁桃体炎,影响孩子的日常生活和学习,以及扁桃体肥大伴随有其他严重并发症,在这些情况下,手术切除扁桃体成为了有效的治疗手段,能够显著改善孩子的呼吸状况和整体健康,促进疾病恢复。
家长应密切关注孩子的健康状况,一旦发现扁桃体肥大或其他相关症状,应及时就医咨询,定期开窗通风,保持室内空气清新,合理饮食,避免过多摄入辛辣、刺激性食物,加强体育锻炼,还应注意孩子的口腔卫生,定期清洁牙齿和扁桃体周围的区域,以减少细菌滋生的机会。

