核性白内障是一种眼部疾病,是指由于晶状体核混浊而导致的视力下降,是晶状体内蛋白质异常变性所引起的疾病。白内障根据混浊部位的不同,可分为皮质性白内障、核性白内障和后囊下白内障。其中,核性白内障是较为少见的一种类型,但仍有其独特的特点和表现。

- 核性白内障在早期可能没有明显症状,但随着病情的发展,会逐渐出现视力下降,这是核性白内障最典型的症状,患者会感到视力逐渐模糊,特别是在光线较暗的环境中。
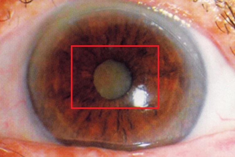
- 晶状体混浊从胚胎核开始,逐渐发展到成人核,晶体颜色会随病情加重而加深,由黄色逐渐变为棕黄色或棕黑色。患者可能会感到光线周围有光圈,影像的颜色也不够鲜明。在阅读、看电视或进行其他近距离视觉活动时,眼睛容易感到疲劳。由于晶状体部分混浊、部分透明,光线通过时可能产生双影或多影。
- 诊断核性白内障通常需要进行一系列眼科检查,包括裂隙灯显微镜检查、光学相干断层扫描(OCT)、视野检查等。核性白内障的治疗方法包括避免长时间用眼、减少紫外线刺激、保持饮食营养均衡等,有助于延缓病情发展。
- 患者可在医生指导下使用药物保护晶状体蛋白,缓解核性白内障引发的症状。但需要注意的是,药物治疗通常只能起到辅助作用,不能根治白内障。
对于病情严重、视力明显下降的患者,手术治疗是首选方法。常用的手术方法有白内障囊外摘除术、超声乳化白内障吸除术等。这些手术通过将混浊的晶状体摘除并植入新的人工晶状体来恢复视力。

