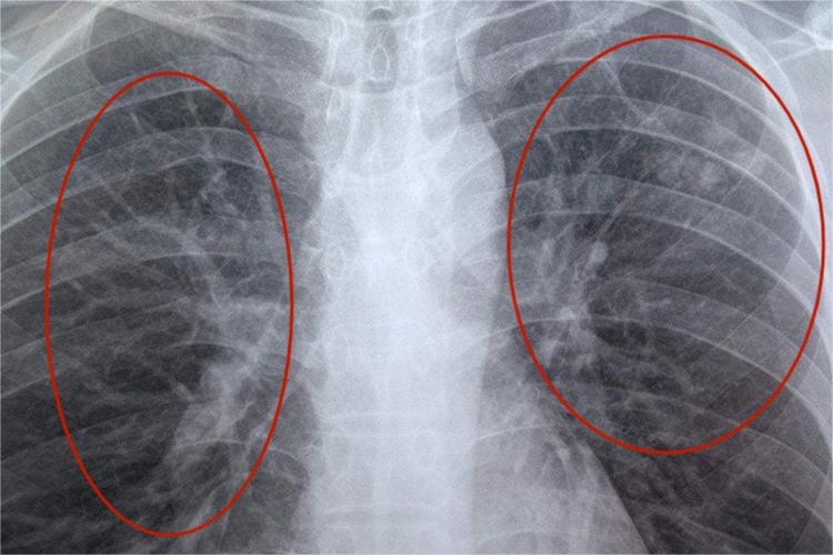
双肺纹理增多紊乱通常出现在胸片或CT等影像学报告中,正常情况下,肺纹理清晰,分布均匀。当肺纹理增多、紊乱时,可能意味着这些结构出现了某种程度的病变或异常。具体来说,可能是由于气管增粗、血管增粗、黏膜增粗等原因导致的。双肺纹理增多紊乱的严重程度需要根据具体病因来判断。以下是一些可能的原因及其对应的严重程度:

1、生理性因素:
- 如长期吸烟、高龄、肥胖等,这些因素可能导致肺纹理的生理性增多和紊乱。这种情况下,如果没有明显的呼吸道症状,一般不需要特殊处理,但建议戒烟、控制体重等。
2、病理性因素:
- 气管病变:如慢性支气管炎、支气管扩张等,这些疾病会导致肺纹理的增多和紊乱。其严重程度取决于疾病的进展和患者的症状。
- 血管病变:如血管炎、肺动脉高压等,也会导致血管增粗,进而影响肺纹理。这些疾病的严重程度可能因个体差异而异。
- 淋巴管病变:如淋巴管炎、癌性淋巴管炎等,也会导致肺纹理的增多和紊乱。特别是癌性淋巴管炎,其严重程度较高,需要及早治疗。
- 其他肺部疾病:如肺炎、肺结核等,在疾病的不同阶段也可能出现肺纹理的增多和紊乱。其严重程度取决于疾病的类型和进展。
- 如果患者出现双肺纹理增多紊乱的影像学表现,并且伴有呼吸道症状,建议进一步进行胸部CT、肺功能检查等以明确诊断。根据病因的不同,治疗方案也会有所差异。例如,对于慢性支气管炎等气管病变,可能需要使用抗生素、支气管扩张剂等药物进行治疗;对于血管病变和淋巴管病变,则需要根据具体病因采取相应的治疗措施。
双肺纹理增多紊乱是一个相对常见的影像学表现,其严重程度需要根据具体病因来判断。在出现这一表现时,建议患者及时就医,进行进一步的检查和治疗。保持良好的生活习惯和饮食习惯也是预防肺部疾病的重要措施。

