肺磨玻璃影能否自行消失因病因不同而异,如果是肺炎支原体肺炎、肺水肿、肺出血引起的,可能会自己消失,如果是特发性肺纤维化、早期肺癌等引起的,通常不会自己消失,需根据具体情况判断并采取相应措施。

1、肺炎支原体肺炎:患者可能有发热、咳嗽、咳痰等症状。如果炎症得到及时有效的控制,磨玻璃影有可能逐渐消失。治疗期间应注意休息,多喝水,保持室内空气流通。定期复查胸部CT,观察磨玻璃影的变化。
2、肺水肿:由于心功能不全、肾功能不全等原因导致。患者可能出现呼吸困难、端坐呼吸、咳粉红色泡沫痰等症状。积极治疗原发病,改善心肾功能,肺水肿消退后,磨玻璃影可能会消失。患者需限制水钠摄入,卧床休息,采取半卧位或坐位。
3、肺出血:肺部血管破裂出血,血液渗出形成磨玻璃影。患者可有咯血、胸痛等表现。及时止血并治疗导致出血的原因,如支气管扩张、肺结核等,出血停止后磨玻璃影可能会逐渐吸收。患者要避免剧烈运动,防止再次出血。
4、特发性肺纤维化:患者会逐渐出现进行性加重的呼吸困难、干咳等症状。此类磨玻璃影通常难以自行消失,需要针对病因进行治疗,如遵医嘱使用糖皮质激素、免疫抑制剂等。患者要注意保暖,预防呼吸道感染。
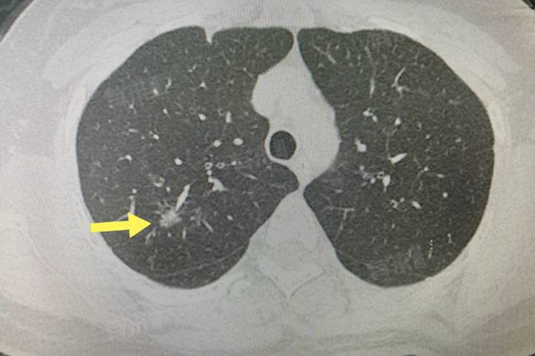
5、早期肺癌:表现为局限性的磨玻璃影,患者可能没有明显症状,一般不会自行消失,需要密切观察,定期复查。如果结节有增大、密度增高或出现实性成分等变化,可能需要手术治疗。患者要戒烟,避免接触有害气体和粉尘。
吸烟和过量饮酒是多种肺部疾病的危险因素,应尽量避免,均衡饮食、适量运动、保持良好心态,有助于提升身体免疫力,预防疾病发生,治疗后应定期复查,以监测肺部健康状况。

