牙齿发黑可能和多种原因有关,例如外源性色素沉着、龋齿初期、四环素牙等,还应及时查明原因,并选择合适的方法进行针对性处理。

1、外源性色素沉着:
日常饮食中,如咖啡、茶、红酒及深色食物,易在牙齿表面留下色素,长期积累导致牙齿发黑,吸烟也是重要原因,定期洗牙、减少色素摄入、戒烟可有效改善。
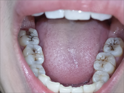
2、龋齿初期:
细菌侵蚀牙齿,形成微小孔洞,初期可能仅表现为牙齿表面黑点或黑线,若不及时治疗,龋坏将逐渐扩大,建议定期检查口腔,一旦发现龋齿,应立即遵医嘱进行补牙治疗。
3、四环素牙:
儿童时期服用四环素类药物,可能导致牙齿着色,表现为全口牙齿均匀发黄或发黑,此情况为药物副作用,难以通过常规手段逆转,但可通过牙齿美白或贴面等方法改善外观。
4、氟斑牙:
长期摄入高氟水源或食物,可导致牙齿表面出现白垩色或黄褐色的斑块,严重者甚至整个牙面发黑,氟斑牙的治疗较为复杂,轻度者可通过漂白或磨除少量牙釉质来改善,重度者需考虑贴面或全冠修复。
5、牙髓坏死:
当牙齿遭受严重外伤或内部感染,导致牙髓坏死,牙齿会失去营养供应而逐渐变色,由黄转黑,需进行根管治疗,清除坏死组织,并考虑冠修复以恢复牙齿功能和美观。
在生活中应注意保持口腔卫生,定期刷牙、使用牙线,减少甜食和色素重的食物摄入,避免吸烟,定期进行口腔检查,及时发现并治疗口腔问题,对于已形成的牙齿发黑,应根据具体原因,在医生指导下选择合适的治疗方法。

