流口水可能与脑梗的发生存在一定关联,但并不能百分百确定。脑梗,即脑梗死,是由于脑部血管阻塞导致脑组织缺血缺氧而发生的疾病。与此同时,流口水可以由于口腔内的炎症、龋齿、牙周病等口腔疾病导致,这些疾病会影响口腔的正常功能,从而引发流口水的现象。

- 此外,前牙畸形、神经调节障碍等因素也可能导致流口水。流口水还可能与其他疾病相关,如癫痫发作、脑出血、脑血管病等。这些疾病都可能影响神经系统的正常功能,导致流口水的症状出现。
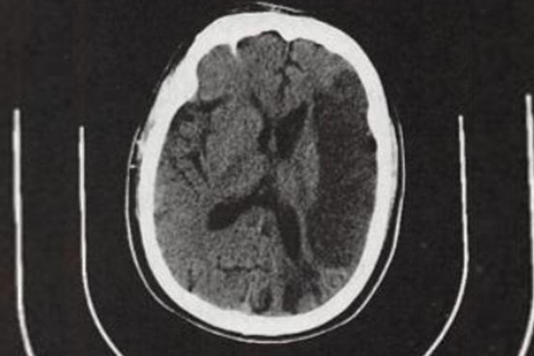
- 在脑梗发作前,身体可能会出现一些预警信号。流口水可能是其中之一,但不能仅凭流口水这一症状就确诊为脑梗的前兆。当脑部血管开始出现病变,影响到控制面部肌肉和吞咽功能的神经时,可能会导致口腔肌肉的协调性变差,从而出现流口水的现象。
- 特别是单侧流口水,且伴有嘴角歪斜、言语不清、肢体无力或麻木等症状时,需要高度警惕脑梗的可能性。然而,流口水也可能是由其他多种原因引起的。例如,口腔疾病如牙龈炎、牙周炎、口腔溃疡等,可能导致口腔分泌物增多,引起流口水。
面神经麻痹也会出现单侧流口水、嘴角歪斜的症状,但面神经麻痹的病因多与病毒感染、面部受凉等有关,而非脑血管问题。另外,睡眠姿势不当,尤其是趴着睡或侧卧位睡觉时,压迫了面部,也可能导致流口水。部分人在过度疲劳、熟睡状态下,或者服用某些药物后,也可能出现流口水的情况。

