白血病早期口腔症状多种多样,包括牙龈增生与肿胀、牙龈出血与口腔黏膜出血、口腔溃疡与坏死等,这些症状的出现提示患者可能存在血液系统问题,需要及时就医进行诊断和治疗。

1、牙龈增生与肿胀
白血病早期,患者可能会出现牙龈增生和肿胀的症状,这是由于异常的白细胞浸润到牙龈组织,导致牙龈边缘出现明显的增生,呈结节状或不规则形状。这种增生使得牙龈质地变得松软脆弱,容易出血。牙龈颜色可能呈现苍白或紫红色,与正常牙龈的粉红色形成鲜明对比。
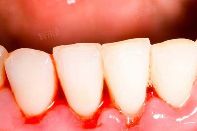
2、牙龈出血与口腔黏膜出血
白血病患者由于血小板减少和凝血功能障碍,牙龈周围容易附着血凝块,形成淤点、淤斑或血肿。在刷牙、进食或轻微触碰时,牙龈容易出血,且出血量较多,不易止血,此外口腔黏膜也容易出现出血症状,表现为口腔黏膜上的小红点或淤斑,有时可形成血肿。
3、口腔溃疡与坏死
白血病早期,由于外周血中正常白细胞数量降低,机体防御能力下降,容易发生口腔黏膜不规则溃疡,这些溃疡大小不一,形状不规则,表面可有灰白色假膜,疼痛明显,同时牙龈内异常白细胞的浸润会导致感染,进而引发黏膜坏死和口臭等症状,口腔溃疡不易愈合,若继发感染还可能会加重症状。
4、牙痛与牙齿松动
白血病细胞浸润到牙髓内,会引起剧烈的牙痛,类似于牙髓炎的症状。这种牙痛通常难以忍受,需要及时就医,白血病细胞还可能浸润牙槽骨,导致牙齿松动。牙齿松动不仅影响咀嚼功能,还可能引发进一步的口腔问题。
除了上述口腔症状外,白血病早期还可能伴有其他症状,如头晕、乏力、心慌、发热、贫血等,这些症状可能单独出现,也可能同时出现,这些症状的出现提示患者可能存在血液系统问题,需要及时就医进行进一步检查。
白血病早期口腔的护理措施
- 白血病患者的口腔黏膜较为脆弱,在饮食上应选择细软、易消化的食物,主食方面,馒头、软饭、面条等蒸煮食品是不错的选择,因为它们含水量高,质地松软,不易损伤口腔黏膜。而油炸、烧烤等焦酥食品的外壳较厚且硬,容易划破黏膜,应尽量少吃或不吃。
- 白血病患者需要保持口腔的清洁,以减少细菌滋生和感染的风险,每日应至少刷牙两次,每次刷牙时间不少于两分钟,建议使用软毛牙刷,轻柔地清洁牙齿表面和牙龈,避免对口腔黏膜造成损伤。
- 白血病患者的口腔黏膜对有害的物理和化学刺激较为敏感,因此在日常生活中应尽量避免这些刺激。常见的物理刺激包括冷、热刺激和机械刺激,如进食过冷、过热的食物或使用硬质的牙刷等。

