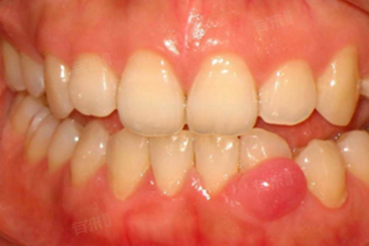
牙龈囊肿是口腔内较为常见的一种病变,通常由多种因素引起,比如牙齿问题、创伤性损伤以及先天性因素等。

1、牙齿问题:牙齿龋坏、牙髓炎或根尖周炎等疾病未能及时治疗,会导致细菌侵入牙根周围组织,形成慢性炎症,进而发展为囊肿。此外,牙齿错位或阻生智齿也可能压迫邻近的牙龈组织,导致局部血液循环不畅,从而引发囊肿。
2、创伤性损伤:由于意外事故造成的牙齿或牙龈损伤,如果没有得到妥善处理,伤口愈合过程中可能会出现异常增生现象,形成囊肿。例如,牙齿断裂后残留的碎片如果不彻底清除,会持续刺激周围组织,诱发囊肿。
3、先天性因素:某些情况下,牙龈囊肿可能是由于胚胎发育过程中某些结构未能正常退化所致。比如角化囊肿,它起源于牙板上皮细胞的残余组织,在特定条件下开始异常生长,形成囊肿。
无论是哪种原因引起的囊肿,都需要及时就医诊治,避免病情进一步恶化。如果发现牙龈部位出现无痛性肿块、反复出血或者其他不适症状,应尽快前往医院进行专业检查。医生通过X光片、CT扫描等影像学手段可以明确诊断,并根据具体情况制定合理的治疗方案。同时,日常生活中保持良好的口腔卫生习惯,定期进行口腔检查,有助于早期发现问题并采取相应措施,预防牙龈囊肿的发生。
牙龈囊肿怎么治疗
- 一般而言,治疗方法主要包括手术切除和药物治疗两种方式。对于大多数类型的牙龈囊肿,尤其是那些已经影响到周围组织功能或者存在恶变风险的情况,手术切除通常是首选方案。手术过程中,医生会尽可能完整地移除囊肿及其包膜,以防止复发。术后还需要密切监测恢复情况,确保没有并发症发生。
- 除了手术外,针对一些较小且症状轻微的囊肿,有时也可以采用保守疗法,如使用抗生素控制感染,减轻炎症反应。但这仅适用于初期阶段的小囊肿,一旦囊肿增大或者出现明显症状,则需要考虑更为积极的干预措施。此外,对于由其他系统性疾病引发的牙龈囊肿,还需对原发病进行针对性治疗,从根本上解决问题。

