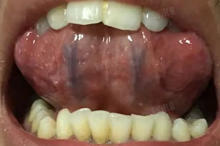
女人舌底青筋黑可能是正常生理现象,也可能是病理状态的表现,在出现此情况时,建议结合自身症状进行判断,如有疑虑或伴有其他不适症状,应及时就医检查并治疗。

1、正常生理现象:
- 颜色差异:正常情况下,舌底的青筋即舌静脉,可能呈现紫色或紫黑色,这是由于静脉血中含氧量较低所致。因此,女性舌底青筋黑可能是正常的生理表现,无需过度担心。
- 个体差异:每个人的体质和生理结构都存在差异,舌底青筋的颜色也可能因此而有所不同,只要没有伴随其他不适症状,一般可视为正常。
2、病理状态:
- 静脉淤血:当血液循环出现障碍时,可能会引起静脉淤血,导致舌底青筋颜色加深甚至变为黑色,这种情况可能伴随局部水肿等症状,需要及时就医检查并治疗。
- 高血压:高血压患者可能会出现血液循环异常,影响舌底的静脉回流,导致青筋颜色变黑,患者还可能伴有血压升高、头痛、心悸等症状,需遵医嘱进行降压治疗。
- 气血瘀滞:中医理论认为,气血瘀滞也可能导致舌底青筋颜色异常,可能与情绪不畅、饮食不当等因素有关。患者可以在医生指导下服用活血化瘀的药物进行治疗,并注意调整生活方式和饮食习惯。
- 脾胃虚弱:脾胃虚弱可能导致舌下脉络受到影响,出现舌底发青的情况,患者还可能伴有食欲不振、乏力等症状。治疗上应以健脾益气为主,可遵医嘱服用相关中药方剂或中成药。
- 肝胆湿热:肝胆湿热也可能导致舌底青筋颜色变黑。患者可能伴有口干口苦、头晕目眩等症状,治疗上应以清肝利胆、清热利湿为主,同样需要在医生指导下进行。
此外,食用有色素的食物如桑葚等也可能使舌头上的青筋变得更加明显,需注意鉴别,日常也要保持良好的生活习惯和饮食习惯,有助于预防疾病。

