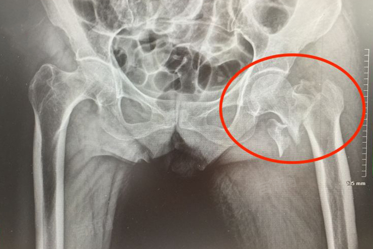
左侧股骨颈骨折是一种较为常见且严重的骨骼损伤,其发生并非偶然,而是多种复杂因素共同作用的结果,如直接暴力、间接暴力等。此类情况的治疗方法包括紧急固定、手术治疗等。

1、直接暴力:在交通事故中,车辆的直接撞击、高处坠落时左侧髋部着地等,强大的外力直接作用于左侧股骨颈部位,超出了骨骼的承受能力,从而导致骨折。对于这种由直接暴力导致的骨折,首先要对骨折部位进行紧急固定,避免骨折断端进一步移位,加重损伤。可使用夹板、石膏等外固定材料,将骨折部位妥善固定。在患者生命体征平稳后,应尽快进行手术治疗,根据骨折具体情况,选择闭合复位内固定术或人工关节置换术。术后配合康复训练,促进肢体功能恢复。
2、间接暴力:在日常生活中,老年人在行走时不慎滑倒,身体扭转,下肢突然外展、内收或过度屈伸,这种间接的外力传导至股骨颈,可能引发骨折。对于间接暴力造成的骨折,若骨折移位不明显,可先采用保守治疗。患者需卧床休息,患肢进行皮肤牵引或骨牵引,维持骨折部位的稳定性,促进骨折愈合。定期进行影像学检查,观察骨折愈合情况。若骨折移位明显,或患者身体状况允许,应优先考虑手术治疗,通过手术复位并使用螺钉、钢板等内固定器械固定骨折断端,以恢复股骨颈的正常结构,减少骨折不愈合及股骨头坏死等并发症的发生风险。
另外,某些疾病,如骨质疏松症、骨肿瘤等,会使左侧股骨颈部位的骨质变得脆弱,降低骨骼强度,轻微外力甚至日常活动都可能引发骨折。对于因骨质疏松导致的骨折,在治疗骨折的同时,需积极治疗骨质疏松症。患者要补充钙剂、维生素D等,必要时使用抗骨质疏松药物,如双膦酸盐类药物,增强骨骼密度。骨折治疗可根据具体情况选择保守治疗或手术治疗,术后加强康复训练,提高肢体活动能力。若为骨肿瘤引起的骨折,需先明确肿瘤性质,针对肿瘤进行手术切除、放疗、化疗等综合治疗,同时处理骨折问题,促进骨骼修复。
左侧股骨颈骨折的危害
- 左侧股骨颈骨折后,患者无法正常站立、行走,肢体活动严重受限。骨折部位的疼痛和不稳定,使患者难以进行日常活动,如上下楼梯、外出购物等,极大地降低了生活自理能力和生活质量,给患者的日常生活带来诸多不便。
- 股骨颈骨折后,股骨头的血液供应受到影响。由于股骨头的血液供应主要依赖于股骨颈周围的血管,骨折可能导致血管断裂或损伤,使股骨头供血不足。若血液供应无法及时恢复,长期缺血会导致股骨头坏死,进一步加重疼痛,影响髋关节功能。

