牙齿断了一半需要根据牙齿损伤的具体情况进行相应处理,常见的治疗方法有补牙、根管治疗后做牙冠修复、拔除后修复等。

1、补牙:如果牙齿折断部位未涉及牙髓,且剩余牙体组织较为稳固,可通过补牙的方式修复。一般先将折断部位的边缘修整光滑,去除受损的牙体组织,然后选择合适的补牙材料,如树脂材料,填充缺损部位,恢复牙齿的外形和功能。
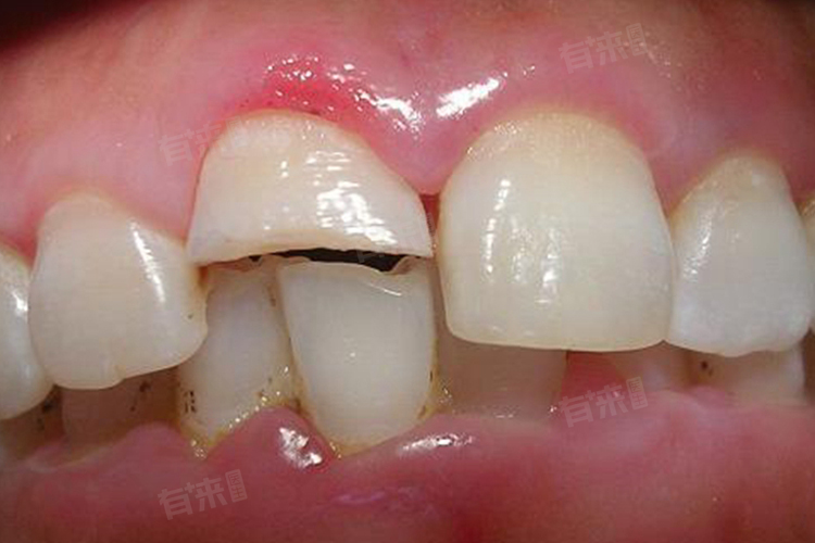
2、根管治疗后做牙冠修复:当牙齿折断导致牙髓暴露时,通常需要先进行根管治疗。根管治疗是将牙齿内部感染的牙髓组织清除干净,对根管进行消毒、充填,以消除炎症,防止感染扩散。待根管治疗完成后,由于牙齿失去了牙髓的营养供应,会变得比较脆弱,容易折断,所以需要制作一个牙冠套在牙齿外面,起到保护和修复的作用。牙冠的材料有多种选择,如烤瓷牙冠、全瓷牙冠等。
3、拔除后修复:如果牙齿折断严重,剩余牙体组织过少,无法通过补牙或根管治疗等方式保留,或者牙齿已经松动严重,没有保留价值,可能需要将牙齿拔除。拔牙后,可根据自身情况选择合适的修复方式,如种植牙、固定桥修复或活动义齿修复。种植牙是将人工牙根植入牙槽骨内,待其与骨组织愈合后,再安装牙冠,在功能和美观上都接近天然牙,但费用较高。
牙齿断了一半应及时就医,由医生通过口腔检查、X线片等手段,评估牙齿损伤程度,然后根据患者的具体情况制定个性化的治疗方案。同时,治疗后要注意保持口腔卫生,避免用受伤的牙齿咀嚼硬物,定期进行口腔检查和维护。
如何避免牙齿断了一半的情况发生
- 减少食用过硬的食物,如坚果、冰块、螃蟹壳等,以免在咀嚼过程中对牙齿造成过大的压力,导致牙齿出现裂纹甚至折断。对于一些较硬的食物,可以先将其切成小块再食用。
- 少吃糖果、蛋糕、甜饮料等高糖食物,因为这些食物容易在口腔中被细菌分解产生酸性物质,腐蚀牙齿,引发龋齿,削弱牙齿的结构,增加牙齿折断的可能性。
- 长期使用一侧牙齿咀嚼食物,会导致该侧牙齿过度磨损,而另一侧牙齿得不到充分使用,容易出现牙石堆积、牙龈萎缩等问题,影响牙齿的稳固性。应养成双侧咀嚼的习惯,使牙齿均匀受力。

