牵引牙齿的费用因牵引方式、牙齿情况、治疗难度等因素有较大差异,通常在数千元到数万元不等。不同牵引目的和具体情况会影响价格,具体价格需到正规口腔机构检查,由医生根据牙齿情况和治疗方案确定。

- 单纯的牙齿牵引,如因牙齿埋伏、阻生需要通过牵引使其萌出到正常位置,费用与牵引的复杂程度相关。若牙齿埋伏较浅,牵引难度小,操作相对简单,费用一般在数千元,可能在3000元到8000元。若牙齿埋伏较深,或与周围组织关系复杂,如靠近神经、与其他牙齿重叠等,牵引难度大,需要更复杂的治疗方案和技术,费用会明显增加,可能达到10000元到20000元,甚至更高。
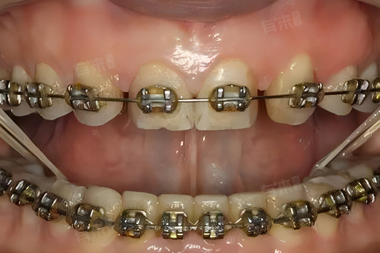
- 在正畸治疗中,因牙齿排列问题需要进行牵引,费用还与正畸的整体方案有关。传统金属托槽正畸过程中的牵引费用,可能包含在整体正畸费用里,整体费用通常在5000元到20000元。而隐形正畸的牵引费用,因技术和材料成本高,整体费用可能在20000元到60000元。
牵引牙齿时是否需要配合其他治疗,也会影响费用。如牵引前需要进行拔牙、牙周治疗等,会增加额外的治疗费用。此外,牵引过程中使用的牵引装置和材料不同,价格也会有差异。患者的年龄也可能对牵引费用产生影响。青少年牙齿和颌骨处于生长发育阶段,牵引难度相对较小,治疗时间较短,费用可能相对较低;成年人骨骼发育已定型,牵引难度较大,治疗周期较长,费用可能会更高。
牵引牙齿过程中注意事项
1、定期复诊:按照医生要求定期复诊,医生会根据牙齿移动情况调整牵引力度和方案,确保牵引顺利进行,不要擅自延长复诊时间。
2、保持口腔卫生:每天正确刷牙,使用牙线或冲牙器清洁牙齿和牵引装置周围,防止食物残渣堆积,引发龋齿或牙周炎。
3、避免外力碰撞:牵引中的牙齿较为脆弱,要避免受到外力碰撞,如咬硬物、外力撞击等,防止牙齿松动或牵引装置损坏。
4、关注牙齿反应:牵引过程中若出现牙齿疼痛、松动明显或其他不适症状,应及时告知医生,以便医生及时处理。
5、遵循医嘱:严格按照医生的指导进行护理,如佩戴牵引装置的时间、注意事项等,确保牵引效果和牙齿健康。

