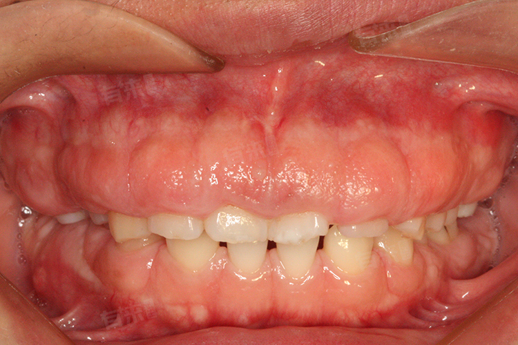
6岁儿童牙龈红肿发炎是常见的口腔问题,可能由多种因素引起,如不良的口腔卫生习惯、牙龈炎等。家长需要采取适当的措施来缓解孩子的不适,包括温盐水漱口、保持口腔卫生、避免刺激性食物等。

1、温盐水漱口:
温盐水漱口有助于减轻牙龈炎症,缓解轻微的红肿。可以将一小勺食盐溶解于一杯温水中,让孩子轻轻含在口中约30秒后吐出,每日多次重复,可以清洁口腔,减少细菌滋生。
2、保持口腔卫生:
教育孩子养成早晚刷牙的好习惯,并教会他们正确的刷牙方法。使用软毛牙刷和适合儿童的牙膏,饭后用牙线清理牙缝中的食物残渣。
3、避免刺激性食物:
辛辣、酸性和过硬的食物可能会加剧牙龈的不适,建议孩子暂时改吃软食,如煮熟的蔬菜、糊状食品等,以减少对牙龈的刺激。
4、使用儿童专用止痛药:
在医生指导下,可以给孩子服用适量的儿童专用止痛药,这些药物有助于缓解疼痛和减轻炎症,使用时请严格遵循药品说明书或医生的建议。
5、局部麻醉凝胶:
有一些专为儿童设计的局部麻醉凝胶,可以暂时减轻牙龈疼痛。在使用前,请仔细阅读说明书,并遵循推荐用量。涂抹时要小心,避免孩子吞咽。
6、专业治疗:
如果孩子的牙龈红肿发炎持续不减,或者伴有发烧、肿胀等症状,应立即就医。牙医会进行全面检查,并根据具体情况给出治疗建议,可能包括抗生素治疗或牙龈清洁等。
在使用药物或治疗方法前,请确认它们适用于儿童,并在医生指导下使用,使用局部麻醉凝胶时,要确保孩子不会将其吞咽。定期带孩子进行口腔检查,及时发现问题。

