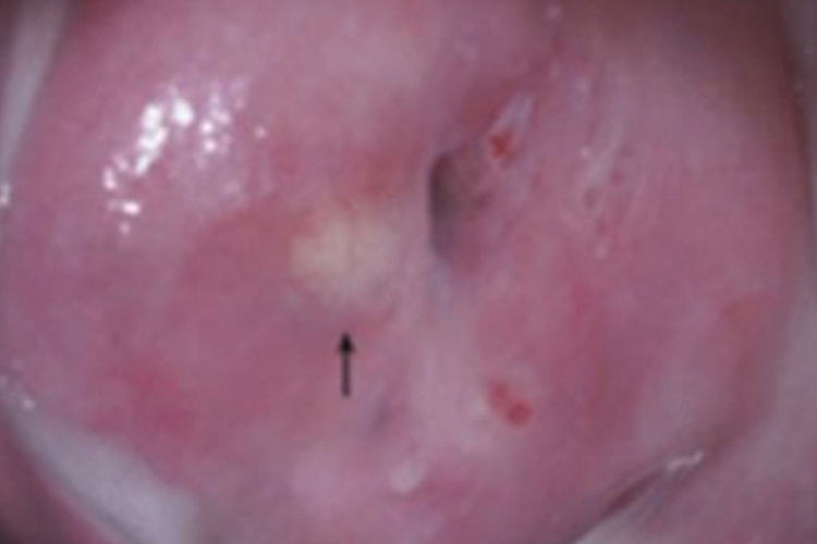
宫颈那囊多发,医学上称为宫颈纳氏囊肿或宫颈多发纳氏囊肿,是一种常见的妇科疾病,尤其多见于生育期妇女。这种病症是由于宫颈管上皮增生形成的多个大小不一的囊肿,可以单发或多发,通常不会引起明显的症状,但在妇科检查中很容易被发现。

- 宫颈那囊多发的形成主要与感染和炎症有关。在宫颈糜烂愈合过程中,新生组织可能堵塞宫颈腺管,导致腺管内的分泌物不能及时排出,慢慢积蓄形成囊肿。这种囊肿多呈现青白色,内含黏液,突出于宫颈表面,部分可能达到阴道口。
- 虽然大多数宫颈那囊多发患者没有明显症状,但囊肿较大或数量较多时,可能会引发月经不调、经期过多、痛经等症状,甚至导致不孕不育。部分患者还可能出现腰部或下腹部疼痛、白带异常(如增多、发黄、有异味)等症状。
对于宫颈那囊多发的治疗,一般根据病情轻重和患者需求来决定。无症状者通常不需要特殊处理,只需定期复查观察即可。若囊肿较大或症状明显,可采用药物治疗、手术治疗或物理治疗等方法。药物治疗主要用于控制感染,手术治疗则适用于囊肿较大或症状严重的患者,而物理治疗如激光、冷冻等则适用于较小的表浅囊肿。

