蛛网膜下腔出血是一种严重的脑血管疾病,通常由于脑底部的动脉瘤破裂引起,它在影像学上的表现对于诊断至关重要,常见的影像表现包括CT扫描高密度影、脑室系统内血液积聚等。

1、CT扫描高密度影:在急性期,头颅CT扫描是检测蛛网膜下腔出血较常用且快捷的方法。当发生出血时,在大脑周围的蛛网膜下腔中会出现高密度区域,这是因为血液积聚形成了对比度较高的影像。
2、脑室系统内血液积聚:如果出血量较大或持续时间较长,血液可能会扩散至脑室系统内,导致脑室内积血。这种情况下,在CT图像上可以看到脑室内部出现不规则的高密度影,这不仅表明出血严重,还可能提示存在脑积水的风险。
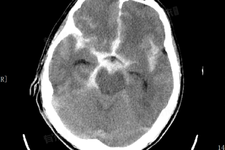
3、脑沟增宽与模糊:正常情况下,大脑表面有许多细小的沟回结构,这些结构在CT图像上表现为线状低密度区。然而,在蛛网膜下腔出血患者中,由于血液填充到这些脑沟中,使得原本清晰可见的脑沟变得模糊不清,并且看起来比平时更宽。
4、脑水肿迹象:在CT图像上,受累区域可能出现灰白质界限模糊,密度略有增加的现象,这是由于局部血液循环障碍及炎症反应造成的脑组织肿胀。
5、动脉瘤显影:在一些病例中,特别是通过数字减影血管造影(DSA)检查时,可以明确看到导致出血的动脉瘤本身,DSA是一种侵入性的血管成像技术,能够提供详细的血管解剖信息。
此外,磁共振成像(MRI)中的DWI序列对检测早期缺血性变化特别敏感,在蛛网膜下腔出血患者中,由于血液产物释放自由基及其他毒性物质,可能导致邻近脑组织发生缺血或梗死。
蛛网膜下腔出血的治疗方法
- 对于急性期的患者,控制颅内压和维持生命体征稳定至关重要,这通常包括遵医嘱使用药物来降低颅内压力,以及密切监测血压以避免过高或过低的压力对脑部造成额外伤害。在某些情况下,可能需要进行气管插管和机械通气以保证足够的氧气供应。
- 一旦患者病情相对稳定,确定并处理出血源是关键步骤之一。如果出血是由动脉瘤引起的,介入神经放射学技术,如血管内弹簧圈栓塞术,或是外科手术,如动脉瘤夹闭术,都是常用的治疗方法。
- 针对蛛网膜下腔出血引发的脑血管痉挛,一种常见的并发症,钙通道阻滞剂被用来扩张血管,改善脑血流。此外,在严重病例中,可能需要通过血管成形术来直接打开狭窄的血管。

