牙齿发黑是牙体组织颜色异常的直观表现,其成因涵盖饮食因素、牙髓坏死等多维度因素,处理需根据病因精准施策,具体措施包括一般治疗、药物治疗等。

1、饮食因素:食物、饮品中的色素(如咖啡、浓茶、烟草中的焦油)通过牙釉质微孔隙(直径20-100nm)沉积于牙面。此时可利用高频振动(20-40kHz)清除牙面色素与菌斑,配合喷砂(碳酸氢钠粉末粒径40-90μm)去除顽固污渍,治疗后牙齿明度值可提升8-12个单位。
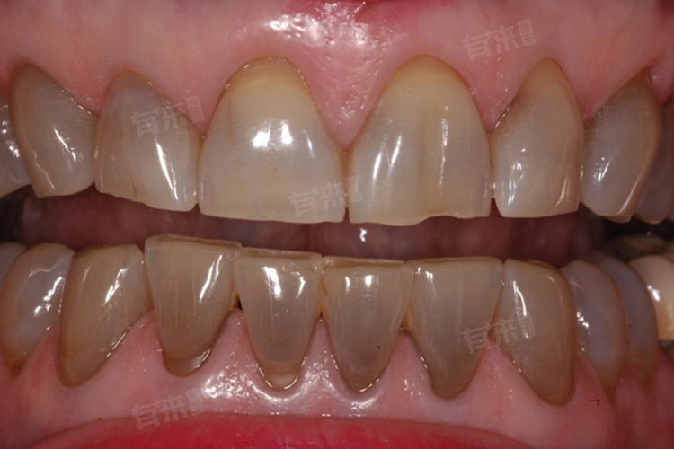
2、牙髓坏死:外伤、深龋等导致牙髓感染坏死,血红蛋白分解产物(如硫化铁、卟啉类物质)渗入牙本质小管(每平方毫米约1.5万根),使牙齿呈现灰黑色。坏死牙髓释放的蛋白酶破坏牙本质结构,加速色素渗透,通常伴随患牙叩痛或咬合不适。完成根管充填后,将过氧化脲糊剂(浓度10%-15%)置于髓腔内,每周换药1次,持续2-4周,利用氧化剂渗透至牙本质小管内脱色。对于漂白无效的重度变色牙,磨除牙体表面0.5-1.0mm后制作全瓷冠。
3、四环素牙与氟斑牙::在牙齿发育矿化期(妊娠4个月至8岁)摄入四环素类药物,药物与钙螯合形成稳定复合物,沉积于牙本质层,牙齿呈均匀灰黄色或深褐色。氟斑牙则因高氟地区饮用水氟含量超标(>1.5ppm),导致牙釉质发育不全,表面出现白垩色斑与棕褐色着色。此类情况需磨除牙釉质表面0.3-0.5mm,定制个性化瓷贴面(如二硅酸锂玻璃陶瓷),通过树脂粘结剂固定,可遮盖深褐色着色并模拟天然牙光泽,使用寿命达10-15年。
另外,还可能是龋齿。此类情况可用低速球钻去除腐质,深龋需垫底(如玻璃离子水门汀)后复合树脂充填,恢复牙体形态与功能,避免色素进一步渗入。对于大面积龋损,制作瓷嵌体或树脂嵌体,通过数字化设计(CAD/CAM)实现精准贴合,边缘密合度<20μm,减少继发龋风险。
牙齿发黑需要完善的检查
- 视诊与探诊观察着色范围(全口牙或单颗牙)、颜色深度(浅黄、深褐或灰黑),探诊牙面光滑度(外源性着色光滑,龋齿粗糙)及是否存在缺损(如楔状缺损、龋洞)。
- 根尖片显示单颗牙牙髓腔形态(牙髓坏死者髓腔缩小钙化)、根尖周组织状况(如低密度影提示根尖周炎),鉴别龋齿深度与牙髓关系。曲面断层片评估全口牙齿发育情况(如氟斑牙的釉质密度减低)、是否存在多颗牙四环素着色,及颌骨内有无埋伏牙等伴随异常。
- 也可通过激光诱导荧光(如DIAGNOdent设备)检测牙本质内色素成分,区分四环素沉积与牙髓坏死产物。

