门牙掉落后的生长时间取决于个人的年龄和牙齿的具体类型。儿童时期,乳牙脱落是正常的生理过程,为恒牙的萌出腾出空间。对于大多数孩子来说,乳牙门牙脱落后,相应的恒牙会在6个月到1年的时间内逐渐长出来,这一过程中,孩子们可能会经历一段没有门牙的时期,但这属于正常现象。随着恒牙慢慢顶替乳牙的位置,新的牙齿会逐渐穿透牙龈,完全显露出来。

- 在儿童成长阶段,乳牙与恒牙的交替是一个连续不断的过程,通常从6岁左右开始一直持续到青少年时期。在此期间,孩子们的身体正在快速发育,包括他们的口腔结构也在发生变化以适应新长出来的恒牙。恒牙比乳牙更大更坚固,设计上旨在支持个体一生中的咀嚼需求。因此,在乳牙脱落之后,虽然需要一段时间等待恒牙生长到位,但这是每个人成长过程中的必经之路。
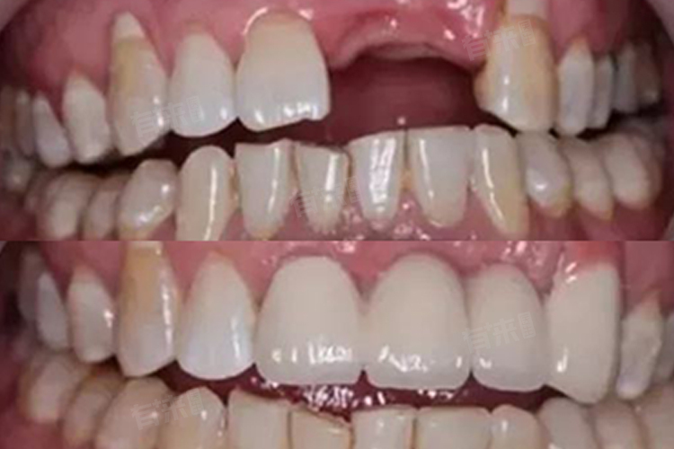
- 然而,一旦进入成年期后,如果发生了门牙等恒牙的意外脱落或因疾病、事故等原因导致牙齿丧失,则情况就完全不同了。成人恒牙不具备自我再生的能力,这意味着一旦恒牙丢失,它们不会像乳牙那样被新的牙齿所替代。这是因为成年人的牙齿发育已经完成,牙槽骨内的牙胚(即未来牙齿的基础)不再存在,无法产生新的牙齿。
对于成年人而言,面对门牙缺失的问题,往往需要借助现代牙科技术来进行修复,这可能包括使用假牙、牙桥或是种植牙等方式来恢复失去的牙齿。每种方法都有其特点和适用范围,具体选择哪种方式则需根据患者的具体情况以及牙医的专业建议来决定。
门牙掉落后的注意事项
1、保持清洁:如果门牙是因为意外脱落,应立即用清水轻轻冲洗口腔和掉牙处,避免感染。不要使用刺激性的漱口水,以免影响潜在的愈合过程。
2、保护空缺区:对于儿童乳牙掉落的情况,可以考虑使用临时填充物来保护空缺区,防止食物残渣滞留并减少不适感。成人则需避免用舌头或手指触碰伤口,以防引起更多疼痛或延缓愈合。
3、饮食调整:在牙齿掉落初期,选择软食且避免过热、过硬的食物,以减少对受伤部位的压力和刺激。冷饮或冰淇淋可以帮助减轻肿胀和不适,但对于冷敏感的人来说应该谨慎食用。
4、观察愈合情况:密切关注伤口愈合进度,注意是否有异常出血、持续性疼痛或其他不寻常的症状出现。

