牙齿变黑是一个复杂的过程,可能由多种因素共同作用导致,如年龄因素、不良生活习惯、环境因素、药物影响、牙釉质发育不全等。

1、年龄因素:随着年龄的增长,牙齿的釉质层会逐渐磨损,暴露出下方的牙本质层,而牙本质层的颜色相对较深,可能导致牙齿看起来更黑。
2、不良生活习惯:长期吸烟、喝浓茶、咀嚼槟榔、喝有色饮料等习惯,容易导致牙齿表面色素沉积,使牙齿逐渐变黑。这些色素主要来源于食物和饮料中的色素成分,通过日常饮食逐渐附着在牙齿表面。
3、环境因素:生活在含氟量较高的地区,空气中的氟化物可能通过呼吸进入口腔,影响牙釉质的正常发育,导致牙齿表面失去光泽,变得暗淡无光甚至发黑。
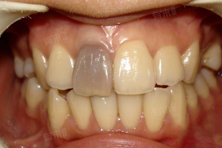
4、药物影响:长期服用某些含铁药物,如硫酸亚铁、葡萄糖亚铁、琥珀酸亚铁等,铁元素在口腔内堆积并氧化形成硫化物,可能使牙齿变黑。
5、牙釉质发育不全:这是一种牙齿结构异常的疾病,可能导致牙齿表面不光滑,容易吸附色素,使牙齿变黑。
6、龋齿:龋齿是牙齿硬组织逐渐被破坏的一种疾病,当龋坏发展到一定程度时,牙齿表面会出现黑色或褐色的斑点或斑块。
7、牙周炎:牙周炎是牙周组织的炎症性疾病,可能导致牙龈出血、牙齿松动等问题,同时也会影响牙齿的颜色,使牙齿看起来更加暗淡。
平时要养成良好的口腔卫生习惯,如早晚刷牙、饭后漱口等。减少吸烟、喝浓茶、咀嚼槟榔等容易导致牙齿变黑的行为。定期进行口腔检查,及时发现并处理龋齿、牙周炎等口腔疾病。
对于外源性色素沉积导致的牙齿变黑,可以通过洁治术(如超声波洁牙)来去除。对于内源性因素导致的牙齿变黑,如药物影响或疾病因素,需要根据具体情况进行针对性治疗,如停止服用相关药物、进行根管治疗等。
对于无法通过常规方法改善的牙齿变黑问题,可以考虑进行牙齿美白或修复治疗,如冷光美白、烤瓷贴面等。

