原来补的牙掉了需根据牙齿剩余情况及龋坏程度选择修复方案。从简单重新补牙到复杂根管治疗后修复,不同手段可恢复牙齿形态与功能,防止龋病进展,保障口腔健康。

1、重新补牙:若补牙脱落且牙体缺损小、未继发龋坏,可直接重新补牙。医生清洁牙洞,酸蚀牙面增强粘结力,再使用树脂等材料填充。此方式操作简便,能快速恢复牙齿外形,避免食物残渣滞留引发新问题。
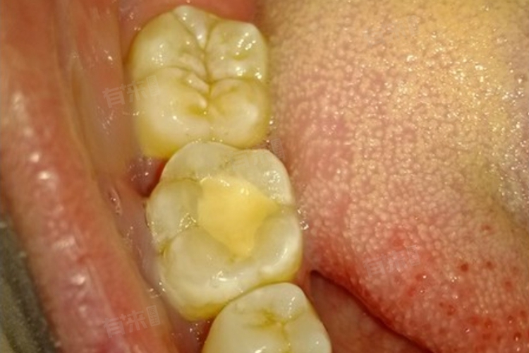
2、嵌体修复:若原补牙位置龋坏面积扩大,或牙体缺损较多,适合嵌体修复。制取牙齿模型定制瓷嵌体或树脂嵌体,将其精准嵌入牙洞,通过粘接固定。嵌体与牙体贴合紧密,耐磨且不易脱落,能有效恢复牙齿咀嚼功能。
3、根管治疗+补牙:若补牙脱落且龋坏已累及牙髓,引发牙髓炎或根尖周炎,需先进行根管治疗。清除根管内感染组织,消毒并充填根管,消除炎症。待治疗完成后,再用树脂等材料修复牙体缺损。
4、桩核冠修复:当牙体组织大量缺损,剩余牙体难以支撑补牙材料时,采用桩核冠修复。在根管内植入纤维桩或金属桩增强固位,制作核型恢复牙齿外形,最后佩戴烤瓷冠或全瓷冠。该方法可大幅提升牙齿强度,保障长期使用。
5、拔牙+修复:若牙齿龋坏严重无法保留,或牙根松动明显,应拔除患牙。拔牙创口愈合后,根据患者口腔条件,选择种植牙、固定桥或活动义齿等方式修复,重建口腔咀嚼功能,避免邻牙移位。
补的牙掉了应及时就医,由专业口腔医师检查评估治疗方案。重新补牙、嵌体修复后避免立即咀嚼硬物;根管治疗、桩核冠修复需按疗程完成,定期复诊。拔牙后注意创口护理,防止感染。若治疗后出现疼痛、肿胀等异常,立即联系医生处理,确保口腔健康。
补牙后如何护理
- 当日护理:补牙后2小时内避免进食,24小时内宜食温软食物,勿用患侧咀嚼。注意保持口腔清洁,可用温水轻柔漱口,避免触碰补牙部位,以防填充物脱落或引起不适。
- 日常维护:养成良好口腔卫生习惯,早晚正确刷牙,使用牙线清洁牙缝,避免食物残渣滞留。避免食用过硬、过黏、过冷或过热的食物,减少对牙齿的刺激,以防填充物损坏或牙齿出现其他问题。
- 异常处理:若补牙后出现持续疼痛、肿胀或出血等异常情况,应及时就医检查。定期进行口腔检查,以便及时发现牙齿的潜在问题,确保口腔健康,让补牙效果得以长久维持。

