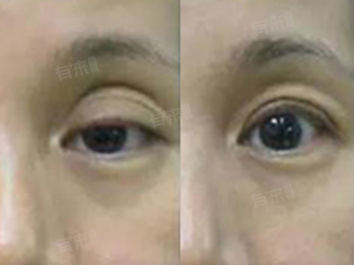
上眼皮松弛下垂可以通过物理治疗、药物治疗、单纯重睑去皮术、上睑提肌缩短术、提眉切眉手术等方法进行改善,具体方法需根据个人情况选择。

1、物理治疗:对于轻度上眼皮松弛下垂,可以通过物理治疗方法来改善。在专业医生的指导下通过眼部按摩和冷敷,有助于促进血液循环,缓解眼部疲劳,减轻眼皮松弛。
2、药物治疗:当物理治疗和生活习惯调整无法显著改善症状时,建议就医进行药物治疗。重症肌无力可能导致眼皮松弛下垂,可以在医生指导下口服药物进行治疗,以缓解眼部肌肉无力症状。
3、单纯重睑去皮术:对于中度上眼皮松弛下垂,物理治疗和药物治疗效果欠佳时,可以就医进行手术治疗。在专业医生的指导下通过单纯重睑去皮术可以有效去除多余的松弛皮肤,改善眼部外观。
4、上睑提肌缩短术:当眼皮松弛下垂症状较重且伴有泪腺、眶脂肪膨出等问题时,需要进行更为复杂的手术治疗,如上睑提肌缩短术和不仅能改善眼皮松弛下垂,还能恢复眼部功能,提高生活质量。
5、提眉切眉手术:对于不愿接受手术治疗或手术风险较高的患者,可以遵医嘱采取非手术方法。提眉切眉手术通过提升松弛的上睑皮肤来改善症状,适用于老年人不希望改变太明显、不要求形成双眼皮的情况。
在选择治疗方法时,建议前往正规医院进行详细检查,并在医生指导下制定合适的治疗方案。日常生活中应避免熬夜,定期进行眼部按摩,促进血液循环,选用适合自己的眼霜进行保湿护理,还需保持均衡的饮食,摄入足够的蛋白质、维生素和矿物质。

