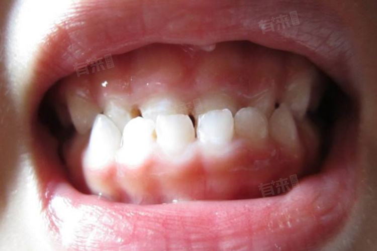
地包天即医学术语中的反颌,是一种颌骨发育畸形,表现为下颌骨过度前伸,上颌骨相对后缩,使得下牙覆盖在上牙外面。关于地包天是否可以通过自我矫正成功,这是一个复杂的问题,因为每个人的情况都是独特的,且地包天的严重程度各不相同。

- 需要明确的是,自我矫正并非专业医疗手段,其效果往往难以预测且存在风险。对于轻度的地包天情况,通过一些日常习惯的调整,如改善咀嚼方式、避免用牙齿咬硬物等,可能会在一定程度上减轻症状,但这并不意味着能够完全矫正。
- 但是对于中重度或严重的地包天情况,自我矫正几乎不可能达到理想的效果。这些情况下,通常需要借助专业的正畸治疗或手术干预来纠正颌骨和牙齿的排列问题。正畸治疗可能包括佩戴牙套、使用扩弓器等工具来调整牙齿和颌骨的位置,而手术干预则可能涉及截骨、重塑等复杂操作。
- 自我矫正还存在一些潜在的风险,不正确的矫正方法可能会导致牙齿松动、牙周病等问题,甚至可能加重地包天的症状。因此在尝试任何自我矫正方法之前务必咨询专业的口腔科医生或正畸专家,以获取准确的诊断和治疗建议。
所以,虽然理论上存在通过日常习惯调整来减轻地包天症状的可能性,但自我矫正成功的机会相对较小,且存在诸多不确定性和风险。对于大多数地包天患者来说,寻求专业医疗帮助是更为明智和有效的选择。
地包天矫正注意事项
1、注意口腔卫生:保持口腔清洁至关重要,每天至少刷牙两次,使用牙线和漱口水清洁牙缝和口腔。定期进行口腔检查和洗牙,预防牙周病和龋齿。
2、调整饮食习惯:减少零食和含糖食物的摄入,特别是口香糖等黏性食品,避免附着在矫正器上。同时避免吃过硬的食物,以防损坏矫正器或牙齿。
3、正确使用矫正器:如果佩戴矫正器,应按照医生的指示正确使用,避免随意摘取或调整。如有损坏或脱落,应及时就医修复。
4、保持正确姿势:保持正确的姿势和习惯,避免长时间低头或使用电子设备,以减轻颌骨和颈椎的负担。

