左肺纤维灶是指在左肺组织中出现的纤维结缔组织增生所形成的病灶,它是一种肺部的病理性改变,通常是肺部在受到损伤后进行自我修复的结果,肺部感染、长期吸烟都可能是发生原因。

1、发生原因
- 长期吸烟:烟雾中的有害物质会反复刺激肺部,导致肺部炎症和损伤,长期积累可能引发肺纤维灶的形成。
- 环境因素:长期暴露在粉尘、化学物质等不良环境中,这些物质会沉积在肺部,引起肺部的慢性炎症和纤维组织增生。
- 肺部感染:如肺炎、肺结核等疾病,在病情恢复过程中,受损的肺组织被纤维组织所替代,从而形成纤维灶。
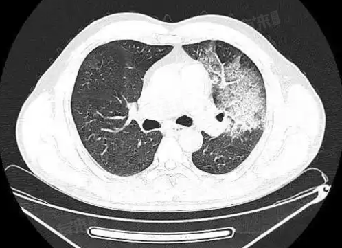
2、影像学表现
- 在胸部X光或CT检查中,左肺纤维灶通常表现为密度增高的条索状或斑片状阴影,边界相对清晰,其形态和分布可能因个体差异和病因不同而有所不同。
3、临床症状
- 较小的肺纤维灶一般不会引起明显的症状,多数是在体检或因其他疾病进行检查时偶然发现,当纤维灶范围较大或累及到重要的肺组织时,可能会出现咳嗽、咳痰、气短、呼吸困难等症状,尤其是在活动后症状可能会加重。
4、治疗方法
- 对于无症状的左肺纤维灶,一般不需要特殊治疗,定期进行复查,观察纤维灶的变化情况即可,如果是由感染等病因引起的纤维灶,且患者伴有咳嗽、咳痰等症状,需要针对病因进行治疗,如抗感染治疗等,对于肺功能明显受损的患者,可能需要进行康复治疗,如呼吸功能锻炼等,以改善肺功能,提高生活质量。
若检查发现左肺纤维灶,不要惊慌,若无症状且纤维灶较小,可先咨询医生,通常定期复查胸部影像学即可,观察有无变化,若伴有咳嗽、咳痰、呼吸困难等症状,或纤维灶范围大,应及时就医,可能需进一步检查,如肺功能测试,遵医嘱治疗。
左肺纤维灶患者的生活注意事项
- 烟草中的尼古丁、焦油等有害物质会持续损害肺部组织,加重肺纤维灶病情或促使新的纤维灶形成,要尽量避免处于二手烟环境中,减少烟雾对肺部的刺激。
- 充足而规律的睡眠对身体的恢复和免疫力提升至关重要,每天应保证7-8小时的高质量睡眠,让身体各器官包括肺部得到充分的休息,有助于维持肺部的正常功能和稳定病情。
- 在流感高发季节,尽量少去人员密集的公共场所,如果必须前往,可以佩戴口罩。可以根据医生建议接种流感疫苗、肺炎疫苗等,减少呼吸道感染的机会,因为感染可能会加重肺部纤维灶的病变。
- 保持积极乐观的心态,避免长期处于紧张、焦虑等不良情绪中,心理压力过大会影响身体的免疫功能,不利于肺部疾病的控制,可以通过与家人朋友交流、参加娱乐活动等方式缓解压力。

