小孩虎牙长在牙龈上面是比较常见的现象,家长无需过度担心。这种情况可能由多种原因引起,包括不良生活习惯和恒牙萌出空间不足等,需要根据具体原因采取不同的治疗方法,如一般治疗、拔牙等。

- 不良生活习惯:小孩在换牙期间,如果经常舔舐牙龈或咀嚼坚硬食物,可能会导致虎牙移位,最终长在牙龈上面。这些不良习惯会干扰虎牙的正常萌出路径,使其偏离正常位置。家长应引导孩子养成良好的口腔习惯,避免舔舐牙龈和咀嚼过硬的食物。同时,鼓励孩子选择松软、易咀嚼的食物,以减少对虎牙萌出的不利影响。
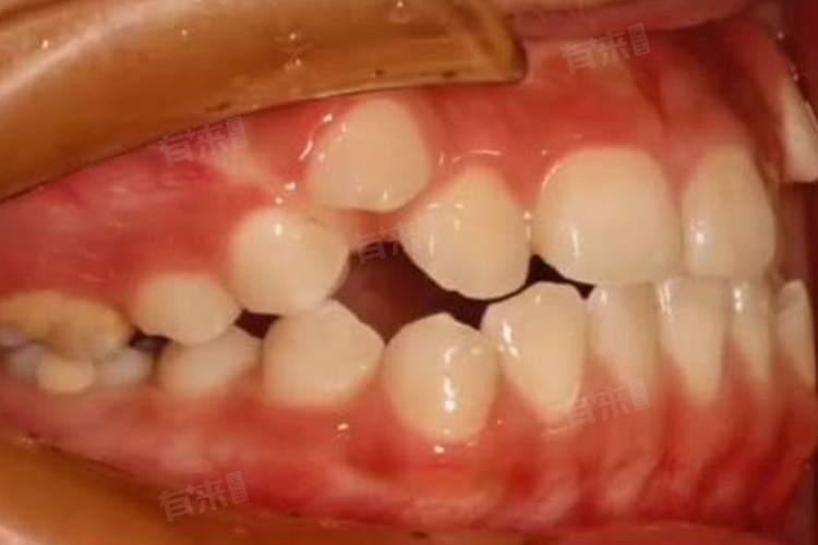
- 恒牙萌出空间不足:如果乳牙没有及时脱落,就会占据虎牙的位置,导致恒牙萌出空间不足。虎牙在萌出过程中,由于空间限制,可能会被迫长在牙龈上方。对于乳牙滞留的情况,医生会根据具体情况,决定是否需要拔除乳牙,为虎牙的萌出腾出空间。在乳牙拔除后,虎牙有可能自然回归到牙列中。
- 日常生活中,家长应督促孩子每天早晚刷牙,饭后漱口,以预防口腔疾病的发生。多给孩子提供富含钙质和维生素的食物,如牛奶、鸡蛋、豆制品等,以促进牙齿的健康发育。定期带孩子进行口腔检查,及时了解牙齿的生长情况,发现问题及时处理。
如果发现孩子虎牙长在牙龈上面,且通过调整生活习惯和观察后仍未改善,应及时前往正规医院的口腔科就诊。医生会根据孩子的具体情况,制定个性化的治疗方案,如佩戴牙套进行正畸治疗等。在治疗过程中,家长应积极配合医生的工作,帮助孩子保持良好的口腔卫生习惯,以促进虎牙的顺利矫正。

