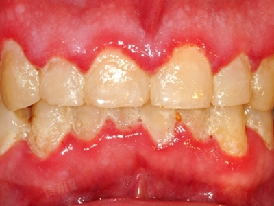
牙龈发红不疼可能由饮食刺激、刷牙方式不当、慢性牙龈炎、牙周炎及白血病等多种原因引起。建议及时就医明确病因,并采取针对性的措施预防和治疗牙龈问题。

1. 饮食刺激:摄入过硬的食物,如坚果,或在进食时不慎咬伤牙龈,都可能导致牙龈局部发红。食用过烫的食物也会刺激牙龈,引发充血,一般较为轻微,短期内可自行恢复。建议日常饮食注意细嚼慢咽,避免过烫过硬食物。
2. 刷牙方式不当:使用硬毛牙刷或刷牙时用力过猛,都可能损伤牙龈组织,引发充血发红,长期还可能发展为牙龈炎。建议选用软毛牙刷,采用正确的刷牙方法,如巴氏刷牙法,轻柔地清洁牙齿和牙龈。
3. 慢性牙龈炎:慢性牙龈炎多由牙菌斑长期刺激引起,初期可能仅表现为牙龈发红,但随着病情发展,可能出现牙龈出血、肿胀等症状。治疗方面,需就医进行彻底的洁牙,去除牙菌斑和牙结石,并保持良好的口腔卫生习惯。
4. 牙周炎:牙周炎不仅涉及牙龈组织,还会侵犯牙周膜、牙槽骨等深层组织,导致牙齿松动甚至脱落,其还常伴随牙龈出血、牙周袋形成等症状。治疗牙周炎需采用综合方法,包括洁牙、刮治、药物治疗等,必要时还需进行手术治疗。
5. 白血病:血液性疾病,如白血病引起的牙龈发红通常伴随全身症状,如发热、贫血、出血倾向等。建议及时就医进行全面检查,以明确诊断并采取相应的治疗措施。
在日常生活中,保持良好的口腔卫生习惯,定期刷牙、使用牙线等清洁工具,避免过硬过烫的食物刺激,以及采用正确的刷牙方法,有效降低牙龈发红的风险。

