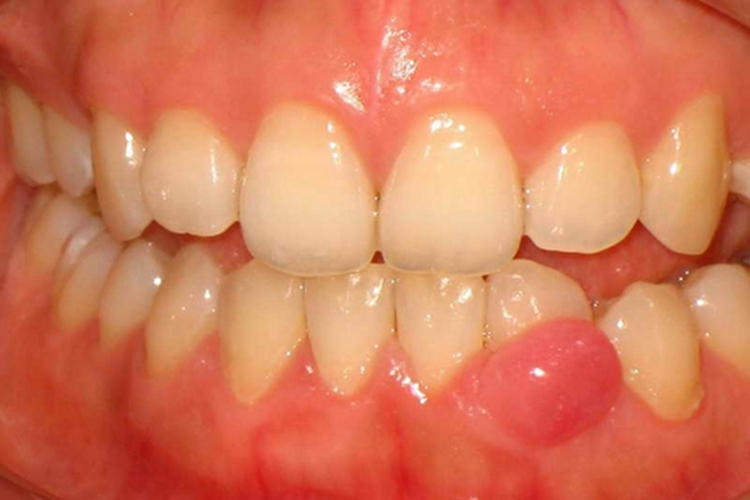
牙龈囊肿是一种发生于牙龈的囊性病变,其形成原因主要包括局部刺激、牙根尖周病变、胚胎发育异常以及损伤等,原因不同,治疗也不同。

1、局部刺激:
长期的慢性炎症刺激,如牙龈炎、牙周炎等,可能导致牙龈组织发生囊性改变,不良修复体、残根残冠等对牙龈的长期刺激也可能引发囊肿。治疗首先需要去除刺激因素,如治疗牙龈炎、牙周炎,拆除不良修复体,拔除残根残冠等,对于较小的囊肿,在去除刺激因素后可能会自行消退;较大的囊肿可能需要手术切除。
2、牙根尖周病变:
当牙髓炎症发展到牙根尖周时,可能形成根尖周囊肿,炎症破坏周围组织,形成囊腔;通常需要进行根管治疗,消除根尖炎症,如果囊肿较大,在根管治疗后可能还需要手术切除囊肿。
3、胚胎发育异常:
在胚胎发育过程中,牙板上皮剩余或上皮岛发生囊性变,形成牙龈囊肿,主要通过手术切除囊肿,以恢复牙龈的正常形态和功能。
4、损伤:
牙龈受到外伤或手术创伤后,组织在修复过程中可能形成囊肿;应根据囊肿的大小和症状,选择保守观察、手术切除或其他治疗方法。
对于牙龈囊肿患者,应保持良好的口腔卫生,每天早晚刷牙,使用牙线、漱口水等辅助清洁工具,避免食用辛辣、刺激性食物,减少对牙龈的刺激,期进行口腔检查,及时发现和处理口腔问题,如果接受了手术治疗,要按照医生的嘱咐进行术后护理,注意休息,避免剧烈运动。

