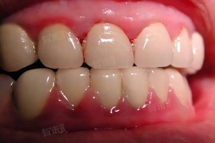
牙龈红肿可能是由于牙菌斑积累、牙龈炎、牙体牙髓病变、智齿冠周炎等因素导致,建议及时就医明确病因并采取针对性措施,预防和治疗牙龈红肿,维护口腔健康。

1、牙菌斑积聚:当牙齿间隙较大或清洁不到位时,食物残渣易滞留,会滋生细菌,导致牙菌斑的形成。其不仅刺激牙龈,还可能引发炎症,导致牙龈红肿。建议加强口腔清洁,定期刷牙、使用牙线,减少菌斑积累。
2、牙龈炎:随着菌斑和牙结石的进一步积聚,牙龈受到持续刺激,可能发展为牙龈炎,牙龈不仅红肿,还可能伴有出血、疼痛等症状。治疗牙龈炎需就医在专业医生的指导下通过专业洁治术清除菌斑和牙石,并配合良好的口腔卫生习惯。
3、牙体牙髓病变:当牙齿内部的牙髓发生病变,如牙髓炎或根尖周炎时,炎症可能通过根尖孔扩散至牙周组织,引起牙龈红肿,还常伴有剧烈疼痛、牙齿变色等症状。治疗需就医针对牙髓病变进行根管治疗,清除感染物质,并严密充填根管,以消除炎症来源。
4、智齿冠周炎:智齿冠周炎是智齿周围软组织发生的炎症,常见于智齿未能正常萌出的情况。智齿周围的牙龈因受到挤压或食物嵌塞而红肿,严重时可能伴有张口受限、发热等症状。治疗包括遵医嘱局部冲洗上药、消炎止痛,并在炎症控制后拔除智齿,以防复发。
日常生活中,应保持良好的口腔卫生习惯,定期刷牙、使用牙线,减少菌斑和牙结石的积累。对于已经出现牙龈红肿的症状,应及时就医,明确病因并采取相应治疗措施。还需关注全身健康,避免全身性疾病对口腔健康造成不良影响。

