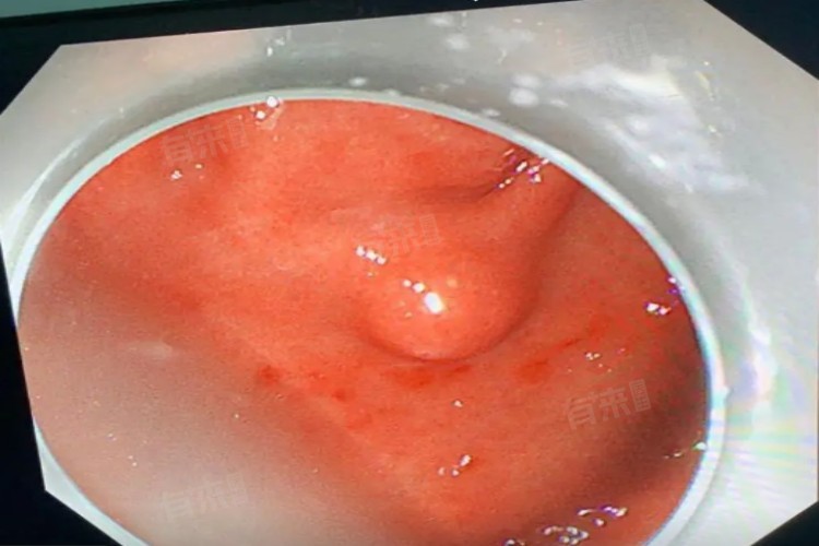
胃间质瘤是一种发生在胃部的间叶源性肿瘤,具体病因尚未完全明确,但一般认为与基因突变、遗传因素、环境因素等有关。

1、基因突变:大多数胃间质瘤患者存在KIT基因或血小板衍生生长因子受体α(PDGFRA)基因的突变。这些基因突变会导致细胞内信号传导通路异常激活,使得胃部间叶细胞持续增殖,逐渐形成肿瘤。正常情况下,细胞的生长、增殖和凋亡受到严格调控,但基因突变打破了这种平衡,促使细胞无节制地分裂,为胃间质瘤的发生奠定了基础。
2、遗传因素:部分胃间质瘤具有家族遗传倾向。有研究表明,在一些家族中存在与胃间质瘤相关的遗传突变,这些家族成员患胃间质瘤的风险相对较高。比如,家族性胃肠间质瘤综合征就是一种与遗传相关的疾病,其家族成员携带特定的基因突变,易发生胃间质瘤及其他胃肠道肿瘤。
3、环境因素:长期暴露于某些环境因素中可能增加胃间质瘤的发病风险。例如,长期接触化学物质如苯、甲醛等,或接受过腹部放射治疗,可能会对胃黏膜细胞造成损伤,进而诱发基因突变,导致胃间质瘤的发生。
4、胃部慢性疾病:患有某些胃部慢性疾病,如慢性胃炎、胃溃疡等,可能导致胃黏膜反复受损,在修复过程中,胃黏膜细胞可能发生异常增生和分化,增加胃间质瘤的发病风险。同时,幽门螺杆菌感染引起的慢性炎症反应,也可能通过影响胃内微环境,促进胃间质瘤的发生发展。
若胃间质瘤不进行治疗,后果十分严重。肿瘤会持续生长,不断侵犯周围组织和器官,破坏胃的正常结构和功能,导致胃部出血、穿孔等严重并发症,引发剧烈腹痛、感染性休克等,危及生命。
预防胃间质瘤的方法
- 生活习惯方面,保持良好的作息规律,充足睡眠有助于身体各器官修复和免疫系统正常运转。适当进行体育锻炼,增强体质,可降低患病几率。避免长期精神压力过大,精神因素可能影响胃肠道功能,通过合理方式缓解压力,如听音乐、旅游、与朋友交流等,保持良好的心理状态。
- 对于有胃间质瘤家族史或其他胃部疾病史的高危人群,要定期进行胃镜等相关检查,早期发现潜在病变,以便及时干预。同时,避免接触已知的致癌物质,如某些化学物质、放射线等,减少环境因素对胃部的不良影响,从而在一定程度上预防胃间质瘤的发生。

