四环素牙是指牙齿发育矿化期间服用四环素类的药物,导致牙齿颜色改变、牙釉质发育不全、牙体硬组织病变的一种情况。

1、可能原因
- 药物因素:四环素类药物,如四环素、金霉素、土霉素等,在牙齿矿化、发育过程中,此类分子会与牙齿硬组织中的钙结合,形成稳固的四环素钙正磷酸盐复合物。复合物存在于牙本质中,会呈现带荧光的黄色,从而导致牙齿颜色改变。
- 光照因素:四环素类药物长期受紫外线照射后,颜色会发生改变,主要是对光敏感造成的。如果使用此类药物后,牙齿长时间遭受阳光暴晒,可能出现四环素牙。
- 牙釉质结构异常:当牙釉质严重发育不全或完全丧失时,着色的牙本质会明显外露,进一步加重牙齿颜色的改变。
2、临床表现
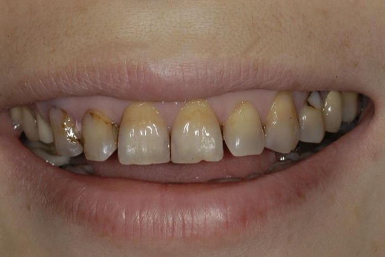
- 牙齿颜色改变:四环素牙的最明显特征是牙齿颜色的改变,牙齿表面可能呈现黄色、棕色或灰色斑块,此类斑块通常沿着牙齿的增长线分布,牙齿可能呈现为深灰色或蓝黑色。
- 牙齿发育不良:四环素牙可能导致牙釉质发育不良,使牙齿表面变得粗糙或凹凸不平,牙齿的形状和大小也可能受到影响。
- 牙齿敏感:四环素牙患者可能会感受到牙齿敏感,尤其是在进食冷、热、酸或甜的食物时,容易出现短暂而尖锐的牙疼症状。
3、治疗方法
- 冷光美白:通过冷光将美白药物渗透到患者的牙齿组织中去,从而可以达到美白的治疗效果,冷光美白属于化学漂白的一种,对轻度四环素牙效果较为显著。
- 贴面:在不损伤或者很少损伤患者牙齿、牙龈的前提下,根据患者牙槽骨的形态,对牙齿做出相应的修整,从而有效地改善四环素牙的外观。
- 全瓷牙:对于牙齿缺损较为严重的四环素牙患者,可以采用全瓷牙的治疗方法。全瓷牙完全由陶瓷烧制而成,不含金属层,可以让患者的牙齿达到一定美观的程度,但需要磨除较多牙体组织。
为了预防四环素牙的发生,建议妊娠4个月后和哺乳的母亲,以及7岁以下儿童不要使用四环素类药物。保持良好的口腔卫生习惯和饮食习惯,也是预防口腔疾病的重要措施。

