牙齿突然出血是一个常见的口腔问题,可能由多种原因引起,主要包括外伤、不良修复体、牙龈炎等方面,需要根据具体情况进行判断以及针对性处理。

1、外伤:硬壳、骨刺、鱼刺等可能划伤牙龈或牙周黏膜,导致出血量较大。牙齿明显松动时,咀嚼硬物可能撕裂牙龈及牙周韧带产生渗血。牙齿受到外界撞击,如摔倒、磕绊等,会使口腔黏膜或者牙龈受到过度刺激,其表面的毛细血管可能会破裂,出现牙齿突然出血的情况。
2、不良修复体:牙齿间隙较大或有不良修复体时,嵌塞的食物纤维可能刺激牙龈乳头急剧肿胀,同时大量毛细血管破裂,导致出血。
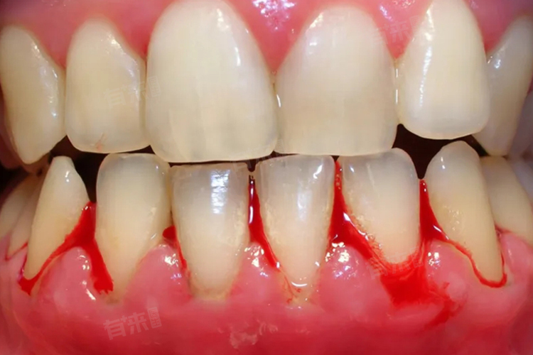
3、牙龈炎:牙龈炎是牙齿周围软组织的炎症,通常由牙菌斑作用在牙齿上并对牙周组织进行刺激而形成。牙龈炎患者常出现牙龈出血、红肿、疼痛等症状。
4、牙龈息肉:牙冠部存在龋损且未及时修复时,可能形成牙龈息肉,在受到刺激如咀嚼、触碰或刷牙时可能发生破溃,导致出血。
5、牙周炎:牙周炎是一种发生于牙周组织的炎症性疾病,也可能导致牙龈出血。牙周炎患者还可能出现牙周袋形成、牙齿松动等症状。
全身性疾病如糖尿病、血液疾病、高血压、肝肾功能异常等,也可能引起牙龈出血。针对牙齿突然出血的情况,建议在家里可以先用冰敷,然后咬上棉球或纱布进行压迫止血,并尽快到医院口腔科就诊。
牙齿突然出血怎么办
- 如果出血量较少,可以尝试用冷水漱口,冷水可以使局部的血管收缩,达到辅助止血的作用。如果出血量较大,可以在出血部位咬一块无菌或干净的纱布,达到压迫止血的效果。
- 如果是牙结石引起的出血,可以通过超声波洗牙的方式去除牙结石,减少对牙龈的刺激。牙龈炎或牙周炎引起的出血,可以遵医嘱服用抗生素进行治疗,还需要进行牙周洁治,如洗牙、龈下刮治等。
- 如果女性出现性激素升高、孕酮激素升高等情况导致的牙龈出血,可在日常生活中多食用维生素含量较多的食物,或在医生指导下服用维生素C片剂进行改善。

