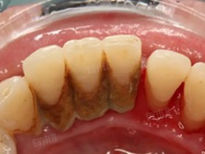
牙结石被自己抠下来后下牙出现小洞,可能是由于牙结石过多、牙齿缝隙、牙龈萎缩或牙齿龋坏等多种原因导致的。如果发现牙齿上有牙结石或出现小洞等异常情况,应及时前往口腔医院就诊,在医生的指导下进行治疗,比如超声波洗牙等,避免自行处理导致病情恶化。

1、牙结石过多:牙结石是附着在牙齿和牙龈边缘的矿物质沉积物,如果牙结石过多,可能会堵塞牙齿之间的缝隙,使相邻牙齿之间的间隙看起来不明显。当牙结石被抠掉后,原本被遮挡的缝隙就会显露出来,形成一个小洞。建议前往口腔医院进行超声波洗牙,彻底清除牙齿上的牙结石。洗牙后,缝隙可能会暂时变大,但随着时间的推移和牙龈的恢复,缝隙会逐渐变得不明显。
2、牙齿缝隙:牙齿之间本身存在一定的缝隙,但由于牙结石的堆积,这些缝隙可能被遮盖住。如果缝隙不影响口腔健康和美观,一般不需要特殊治疗。但可以通过使用牙线、牙缝刷等工具来清洁牙缝,保持口腔卫生。如果缝隙较大且影响美观,可以遵医嘱考虑进行牙齿矫正或修复治疗。
3、牙龈萎缩:牙结石的长期存在会刺激牙龈,导致牙龈萎缩。当牙结石被抠掉后,萎缩的牙龈无法立即恢复,会显得牙齿之间有一个洞。牙龈萎缩的治疗相对复杂,需要根据具体情况进行。轻度的牙龈萎缩可以遵医嘱通过洗牙、药物漱口等方法来缓解。如果牙龈萎缩严重,影响到牙齿的稳固性,可能需要进行手术治疗,如膜龈修复手术等。
4、牙齿龋坏:牙结石的存在会影响口腔卫生的清洁,容易导致牙齿龋坏。当牙结石被抠掉后,龋坏的部分就可能暴露出来,形成一个小洞。牙齿龋坏需要及时治疗,以免病情恶化。根据龋坏的程度,可以遵医嘱选择不同的治疗方法,如银汞合金充填术、复合树脂直接粘接修复术等。如果龋坏严重,影响到牙髓或根尖周组织,可能需要进行根管治疗。
日常生活中,建议保持口腔卫生,早晚刷牙,饭后漱口,使用牙线清洁牙缝。定期进行口腔检查,每年至少进行一次超声波洗牙,以预防牙结石的形成。尽量避免食用过多含糖食物和饮料,以减少龋齿的风险。

