牙齿挨着肉的地方发黑通常是由多种原因引起,如色素沉着、牙结石、龋齿等,应根据具体情况采取相应措施,避免问题加重。

1、色素沉着:
- 可能是由于长期吸烟、喝咖啡、喝茶等导致的外源性色素沉积,这种情况下,通过洗牙、喷砂等洁牙方式,通常可以去除黑色的色素,恢复牙齿原本的色泽。
2、牙结石:
- 牙结石是由牙菌斑和食物残渣等矿物质沉积形成的,质地坚硬,通常呈黄色或黑色。牙结石不仅会影响美观,还会刺激牙龈,导致牙龈出血、红肿、萎缩等牙周疾病。通过洗牙可以去除牙结石,恢复牙龈健康。
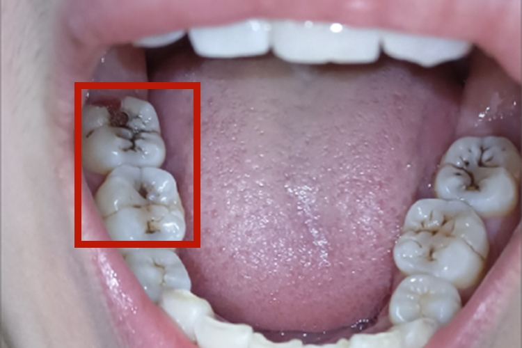
3、龋齿:
- 如果发黑的部位质地变软,有龋洞形成,很可能是龋齿导致的,龋齿是由于细菌分解食物残渣产生的酸性物质侵蚀牙齿而形成的。
- 在龋齿的早期,可能只是在牙齿表面形成黑色的斑点或斑块,如果没有及时治疗,龋坏会逐渐向深层发展,破坏牙本质和牙髓,引起疼痛和牙髓炎症。
- 对于早期的龋齿,可以通过补牙的方式进行治疗,但如果龋齿已经发展到牙髓,引起牙髓炎或根尖周炎,就需要进行根管治疗,去除感染的牙髓,然后进行根管填充和牙冠修复。
在日常生活中,要注意保持良好的口腔卫生习惯,每天早晚刷牙,使用牙线或牙缝刷清洁牙缝,饭后及时漱口。定期进行口腔检查和洁牙,有助于早期发现和治疗口腔问题,保持牙齿的健康和美观。

