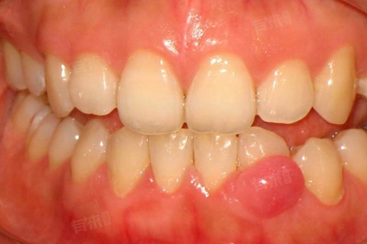
牙龈一直肿个包不消的原因比较多,常见于根尖周脓肿、牙周炎、牙龈脓肿等情况,需要根据具体原因进行处理。

1、根尖周脓肿:根尖周脓肿通常是因为牙齿的根尖周围组织受到感染,导致局部产生炎症反应,白细胞和坏死组织堆积、脓液聚集,从而使牙龈表现为肿胀、长包。建议及时进行引流手术或根管治疗,消除炎症和脓液。
2、牙周炎:牙周炎是由牙菌斑生物膜引起的牙周组织的慢性感染性疾病,随着病情的发展,可能会出现牙龈红肿、牙周袋溢脓等症状,甚至形成肿包。治疗方法包括龈上洁治、龈下刮治、超声波洗牙等,清除牙菌斑和牙石,并在医生指导下使用抗生素进行治疗。
3、牙龈脓肿:牙龈脓肿是牙周炎发展到晚期的一种伴随症状,表现为剧烈疼痛或脓肿形成。治疗方法包括脓肿引流,通过对局部进行麻醉,将脓液引流出来。
4、牙龈息肉:牙龈息肉主要是炎症刺激引起的,会导致牙龈部位出现增生物,表现为牙龈有包现象。建议选择牙龈息肉切除术进行治疗。
5、牙龈瘤:牙龈瘤可能与局部刺激或内分泌变化等因素有关,会导致牙龈部位出现良性增生物,且不会自行消退。治疗方法为手术切除。
6、颌骨囊肿:多种颌骨囊肿都可能波及到牙龈,导致牙龈出现肿包。一般需要进行外科手术切除。
无论何种原因,都建议患者及时到正规医院进行检查和治疗,以免延误病情。保持口腔清洁、定期口腔检查,也是预防口腔疾病的重要措施。

