种植牙二期手术是在一期手术植入的种植体愈合后,将愈合基台与种植体连接的手术过程,包括局部麻醉、切开牙龈等。种植牙二期手术需要在正规医院进行,由专业医生操作,以确保手术的安全和效果。

1、术前准备
- 全身检查:医生会对患者进行常规的口腔及血样检查,详细了解患者的口腔情况,尤其是缺牙区的骨质和骨量,以确定是否适合进行种植牙二期手术。
- 拍摄X光片或口腔CT:通过拍摄X光片或口腔CT,检查植体与周围牙槽骨的结合情况。
2、手术过程
- 局部浸润麻醉:医生会在种植体局部注射麻药,如利多卡因或阿替卡因,进行局部浸润麻醉。等待麻药生效后,开始手术操作。
- 切开牙龈:在覆盖螺丝顶上做一个与牙槽嵴一致的弧形切口,切开黏膜骨膜后沿着骨面剥离,使覆盖螺帽完全显露。如果植体上方有过多骨质覆盖,可以使用球钻磨出多余骨质,充分暴露结构。
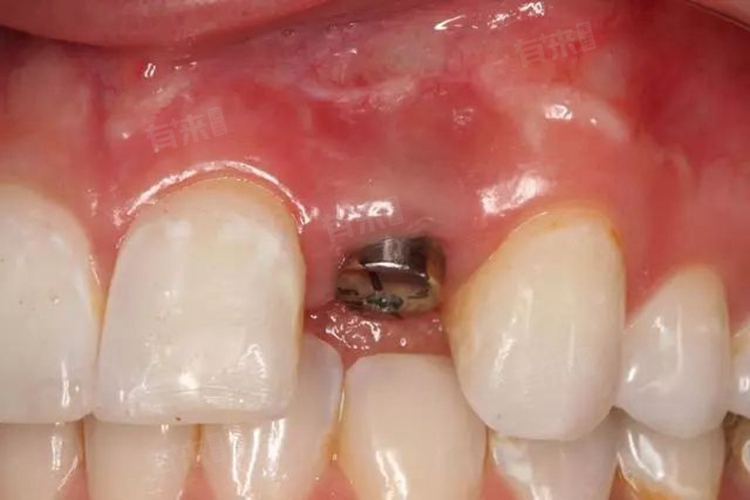
- 安装愈合基台:清理完种植体表面后,卸掉覆盖螺丝,再使用旋转刀及小剥离子清除表面的骨组织。根据黏膜的厚度和穿龈高度与对颌牙的咬合距离,选择合适的愈合基台,将底部六边形孔对准种植体上端六边形,旋紧基台固定螺丝。随后旋入愈合螺丝帽,确保基台稳固。
- 缝合伤口:严密缝合黏膜骨膜复位后间断和基台周围,有助于促使黏膜愈合。如果切口较小,一般无需缝合。
建议患者术后注意休息,避免剧烈运动。饮食方面,术后24小时内不刷牙和漱口,以免造成感染。之后可逐渐恢复正常饮食,但应避免进食过硬食物。术后需遵医嘱定期复查,以便医生了解患者的恢复情况,并根据需要进行调整或治疗。一般来说,二期手术后2周左右可以取下愈合基台,进行制取印模的操作,准备制作牙冠修复。

