牙齿发黑,是口腔健康中常见的问题,成因复杂多样,例如色素沉着、牙菌斑与牙结石、龋齿等,还应及时查明原因,并选择合适的方法处理。

1、色素沉着:长期吸烟、饮用咖啡、茶、红酒等深色饮品,或食用富含色素的食物,如蓝莓、甜菜根等,都可能导致色素附着在牙齿表面,形成难以去除的牙渍,口腔卫生习惯不佳,如刷牙不彻底,也会加剧色素的沉积。为避免此类情况,应保持良好的口腔卫生习惯,定期刷牙,减少色素性食物和饮品的摄入。
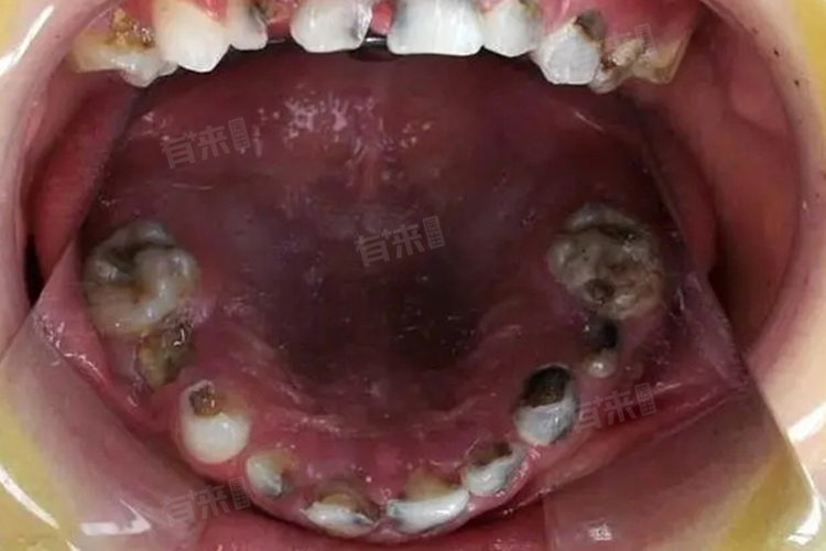
2、牙菌斑与牙结石:牙菌斑是牙齿表面由细菌组成的薄膜,长期积累会形成牙结石,这些硬化的牙菌斑不仅影响美观,还可能引发牙周疾病,牙菌斑和牙结石的颜色偏暗,给牙齿带来发黑的视觉效果。预防牙菌斑和牙结石的关键在于定期刷牙、使用牙线和漱口水,以及定期接受专业的洁牙治疗。
3、龋齿:龋齿是牙齿硬组织逐渐破坏的一种疾病,初期可能仅表现为牙齿表面的小黑点或白垩色斑块,但随着病情发展,龋坏组织会逐渐扩大并深入牙髓,导致牙齿发黑甚至疼痛,龋齿的形成与口腔卫生、饮食习惯等密切相关。一旦发现龋齿,应及时就医治疗,以免病情恶化。
4、牙髓坏死:牙髓是牙齿内部的软组织,负责牙齿的营养供应,当牙髓因外伤、感染等原因坏死时,牙齿会失去营养来源,逐渐变得灰暗甚至发黑,通常伴有剧烈疼痛,严重影响生活质量。对于牙髓坏死的牙齿,需进行根管治疗以清除病变组织,并考虑进行冠修复以恢复牙齿功能和美观。
5、四环素牙:是一种特殊的内源性着色疾病,主要发生在牙齿发育期间服用了四环素类药物的个体,四环素类药物会与牙齿组织中的钙离子结合,形成稳定的四环素钙复合物沉积于牙本质内,导致牙齿呈现黄、灰乃至黑色。四环素牙的治疗难度较大,通常需要通过漂白、贴面或冠修复等方法来改善牙齿颜色。
在日常生活中,应注意保持良好的口腔卫生习惯,每天至少刷牙两次,使用牙线和漱口水清洁牙缝和口腔,减少色素性食物和饮品的摄入,特别是睡前应避免进食此类食物,定期进行口腔检查,及时发现并治疗龋齿、牙周病等口腔问题。

