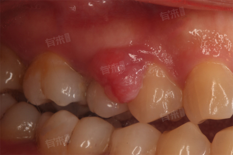
牙齿边上长了个肉包,这种情况在医学上可能由多种原因引起,如牙周炎、根尖周炎、智齿冠周炎等,还应选择合适的处理方式,例如保持口腔卫生等,旨在帮助患者有效应对并缓解症状。

1、保持口腔卫生:保持口腔卫生是基础且重要的处理方式,患者应加强口腔清洁,每天至少刷牙两次,使用牙线和漱口水彻底清洁牙缝和口腔。这有助于减少牙菌斑的堆积,降低炎症的发生风险,避免食用刺激性食物,以减少对牙龈的刺激。
2、药物治疗:若肉包伴有疼痛或红肿等症状,可以在医生指导下使用消炎药物进行局部或全身治疗。遵医嘱口服抗生素,有助于控制感染并减轻炎症,也可以考虑使用含有氯己定的漱口水漱口,以进一步杀菌消炎。
3、切开排脓:对于根尖周炎等引起的脓肿型肉包,若脓肿较大且疼痛剧烈,可以考虑进行切开排脓治疗。医生会在脓肿部位进行局部麻醉后,切开脓肿并引流脓液,以迅速缓解疼痛并促进愈合。切开后,患者需继续服用抗生素以预防感染。
4、根管治疗:若肉包由根尖周炎等牙齿内部炎症引起,且药物治疗效果不佳时,可以考虑进行根管治疗。根管治疗是通过清除牙齿内部的感染物质,并用特殊材料填充根管,以封闭根管并防止再感染。治疗完成后,牙齿可能会变得较为脆弱,需要佩戴牙冠进行保护。
5、手术切除:对于牙龈息肉、牙龈瘤等引起的肉包,若体积较大或影响美观及功能时,可以考虑进行手术切除。手术通常在局部麻醉下进行,医生会仔细切除病变组织,并缝合伤口,术后,患者需遵医嘱进行抗感染治疗,并注意口腔卫生以促进伤口愈合。
在日常生活中,患者还应注意定期进行口腔检查,及时发现并处理口腔问题,保持良好的口腔卫生习惯,按时刷牙、使用牙线和漱口水,避免过度刺激牙龈,如使用硬毛牙刷或刷牙用力过猛,均衡饮食,多摄入富含维生素和矿物质的食物,以增强口腔健康。
牙齿边上长了个肉包对身体有什么影响
- 影响咀嚼功能:肉包可能导致牙齿部分被覆盖,影响牙齿的正常咬合和咀嚼功能。这可能导致食物咀嚼不充分,进而影响消化和吸收。
- 引发疼痛与不适:肉包可能会刺激牙龈或周围组织,引发疼痛、肿胀和不适感。这种疼痛可能影响患者的日常生活和饮食。
- 增加感染风险:肉包组织容易滋生细菌,增加口腔感染的风险。如果不及时治疗,可能引发牙龈疾病、牙周炎等口腔问题,严重时甚至可能影响全身健康。
- 掩盖潜在疾病:肉包的出现可能掩盖其他潜在的口腔疾病,如龋齿、牙髓炎等。这可能导致患者延误治疗时机,使病情恶化。

