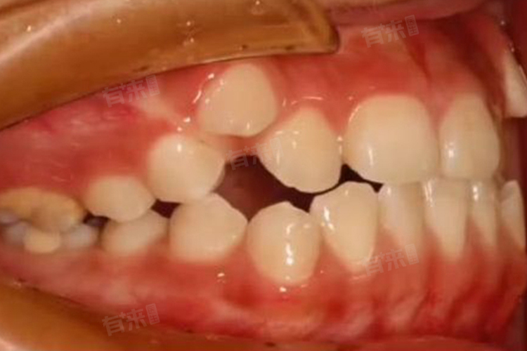
儿童牙龈上长出额外的小牙齿是一种较为罕见的现象,可能是乳牙或恒牙的异常生长,也可能是一颗额外牙,不仅会影响儿童的正常牙齿排列,还可能导致其他口腔健康问题,需要确认牙齿类型、观察牙齿位置等。

1、确认牙齿类型:需要首先确定长出的小牙齿是乳牙还是恒牙,或者是额外的牙齿,建议咨询牙医,通过X光片检查,确认牙齿的具体情况。
2、观察牙齿位置:牙齿的位置对其是否需要被移除具有重要影响,若小牙齿未对其他牙齿造成压迫,且不影响咬合,可在牙医指导下持续观察。
3、保持口腔卫生:保持良好的口腔卫生有助于预防感染和其他并发症,家长需要教导儿童正确刷牙方法,使用软毛牙刷和儿童专用牙膏,每日至少两次彻底清洁口腔。
4、专业评估与建议:牙医的专业意见对于决定后续步骤比较重要,定期带孩子去牙科诊所接受专业评估,听取医生关于是否需要拔除或其他治疗的建议。
5、拔牙或矫正治疗:为了保护正常牙齿的生长和发展,可能需要拔除小牙齿。根据医生的建议进行拔牙手术或采用适当的矫正手段,如佩戴牙套等。
6、心理支持与安抚:面对治疗过程中的不适,儿童可能会感到害怕或焦虑。家长和医生应给予孩子足够的心理支持,耐心解释治疗过程,确保孩子感到安心。
患儿需要保持定期的牙科检查,以便及早发现潜在问题。确诊后遵循牙医的建议治疗,不要自行尝试处理。如果孩子抱怨牙龈不适或疼痛,应及时就医,选择专业的儿童牙科医生进行咨询和治疗。

