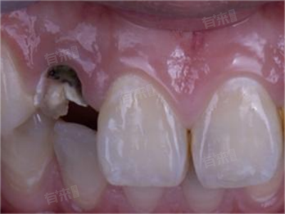
牙齿只剩下残根,通常是由于长期的龋病、牙周病、牙齿外伤或磨损等因素导致。面对这种情况,患者不必过于担心,可以选择根管治疗与桩冠修复、覆盖义齿修复等方法进行处理。

1、根管治疗与桩冠修复:如果牙根情况良好,长度足够且稳固,首选根管治疗,这一方法旨在清除根管内的感染物质,消除炎症,并在根管内打入桩,为后续的牙冠修复提供支撑。完成根管治疗后,可以制作一个牙冠套在桩上,以恢复牙齿的正常功能和美观。
2、覆盖义齿修复:对于牙根较短但仍有一定保留价值的情况,可以考虑覆盖义齿修复,这种方法是在牙根上制作一个基托,并在其上安装义齿,以恢复牙齿的咀嚼功能。覆盖义齿具有制作简单、费用较低的优点。
3、夹板固定:如果牙根断裂发生在根尖附近,且牙齿松动不明显,可以使用夹板固定。夹板固定能够促进牙齿的自然愈合,使其恢复到相对稳定的状态,这种方法适用于牙根损伤较轻、松动不明显的情况。
4、拔除与可摘义齿修复:如果牙根损伤严重,无法保留,那么就需要将其拔除,拔除后,患者可以选择可摘义齿进行修复。可摘义齿通过卡环和基托固定在口腔内,可以自行摘戴,方便清洁和维护。
5、种植牙修复:种植牙是一种先进的口腔修复技术,通过在牙槽骨内植入人工种植体,待种植体与牙槽骨结合后,再安装牙冠。这种方法能够恢复牙齿的功能和美观,且效果持久稳定,种植牙适用于牙根无法保留、且患者希望获得更持久修复效果的情况。
在治疗牙齿残根的过程中及治疗后,患者应注意保持良好的口腔卫生习惯,定期刷牙、使用牙线和漱口水,以减少口腔内细菌滋生,避免用牙齿咬硬物,以免对牙齿造成进一步损伤。
牙齿只剩下残根对身体有什么影响
- 咀嚼功能受损:健康的牙齿可以有效地咀嚼食物,将其磨碎。而牙齿残根的存在会严重影响咀嚼功能,食物无法被充分嚼碎,增加了消化系统的负担,长期如此可能导致消化不良等问题。
- 牙齿移位和咬合紊乱:由于牙齿残根的支持不足,周围的牙齿可能会向缺失牙根的部位移动,导致牙齿排列不齐,影响美观,长时间的牙体缺损还容易造成对颌牙的伸长,进一步造成咬合紊乱。
- 口腔异味:牙齿残根内易滞留食物残渣,这些食物残渣在口腔中发酵,可能产生异味,影响患者的社交和生活质量。

