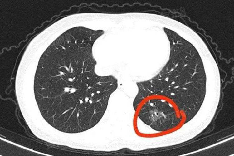
CT是能够查出肺癌早期的。CT具有较高的分辨率,能够清晰地显示肺部的细微结构,哪怕是非常小的病变也能被发现。早期肺癌,尤其是原位癌或微浸润癌,肿瘤体积往往较小,可能仅表现为肺内的小结节。传统的胸部X线检查由于分辨率有限,容易遗漏这些微小病灶,而CT能够精准地捕捉到其,为早期诊断提供可能。

- CT可以进行薄层扫描。通过对肺部进行薄层扫描,能够获取更详细的肺部信息,对结节的形态、大小、密度等特征进行更准确的分析。例如,早期肺癌的结节可能会出现边缘毛刺、分叶征、空泡征等特殊形态,CT的薄层扫描有助于医生清晰地观察到这些特征,从而提高对早期肺癌的诊断准确率。
- CT的三维重建技术发挥了重要作用,可以将肺部的二维图像进行三维重建,从不同角度观察肺部病变,更加全面地了解结节与周围组织的关系,判断结节的良恶性。对于早期肺癌,准确判断肿瘤的位置、范围以及与周围血管、支气管的关系,对于制定后续的治疗方案至关重要。
- 低剂量螺旋CT的应用进一步提高了早期肺癌的筛查效果。低剂量螺旋CT在保证图像质量的前提下,降低了辐射剂量,使得大规模的肺癌筛查成为可能。通过对高危人群进行定期的低剂量螺旋CT筛查,可以发现更多的早期肺癌患者,提高肺癌的治愈率。
另外,随着计算机辅助诊断技术的发展,CT图像的分析更加准确和高效。计算机可以对CT图像中的结节进行自动识别和分析,辅助医生判断结节的性质,减少人为因素导致的误诊和漏诊,进一步提高了早期肺癌的检出率。
肺癌早期筛查患者的注意要点
1、了解风险:主动了解肺癌高危因素,如吸烟史、家族病史等。若处于高危人群,应积极配合医生进行早期筛查,不要因恐惧或疏忽而错过最佳发现时机。
2、配合检查:进行CT检查时,严格遵循医生指示,做好检查前准备,如摘掉金属饰品等。检查过程中保持放松,按要求呼吸,确保检查顺利进行,获取准确结果。
3、后续应对:若检查发现异常,不要惊慌。配合医生进一步检查,如穿刺活检等明确诊断。确诊后,积极与医生沟通治疗方案,保持乐观心态,勇敢面对疾病。

