牙根肿胀是一种常见的口腔问题,考虑与牙周炎、根尖周炎、龋齿、牙齿外伤,以及医源性因素等有关。如果出现牙根肿胀的情况,应及时就医,进行详细的口腔检查。

1、牙周炎:当牙龈边缘的牙菌斑和牙结石不断刺激牙龈时,会引发牙龈炎症,逐渐蔓延至牙周组织。如果炎症进一步发展,就会影响到牙根周围的组织,导致牙根肿胀。患者可能会感到牙龈疼痛、出血,牙齿松动等症状。
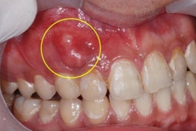
2、根尖周炎:通常是由于牙髓感染未得到及时治疗,炎症扩散到根尖周围组织引起的。细菌通过牙髓腔侵入根尖周,引起根尖周组织的炎症反应,导致牙根肿胀。患者会感到牙齿咬合疼痛,有时疼痛会放射到头部和面部。
3、龋齿:如果不及时治疗,龋洞会逐渐加深,细菌可能侵入牙髓,进而引起牙髓炎和根尖周炎,导致牙根肿胀。龋洞内的食物残渣也容易引起牙龈炎症,加重牙根肿胀的症状。
4、牙齿外伤:牙齿受到外力撞击、跌倒等外伤时,可能会损伤牙根周围的组织,引起牙根肿胀。外伤还可能导致牙髓坏死,引发根尖周炎,进一步加重牙根肿胀的情况。
5、医源性因素:在口腔治疗过程中,如果操作不当,也可能导致牙根肿胀。根管治疗时根管预备过度、充填材料超充等,都可能刺激根尖周组织,引起炎症反应,导致牙根肿胀。
日常生活中,要注意口腔卫生,定期进行口腔检查,预防牙根肿胀等口腔问题的发生。

