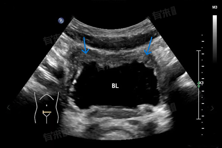
膀胱壁增厚是指膀胱壁的厚度超过正常范围,通常大于5毫米,这一现象可能由多种因素引起,包括生理性和病理性因素。此时不一定需要治疗,需根据具体情况综合评估。
1、生理性因素
- 年龄增长:随着年龄的增长,膀胱壁可能会因长期持续的充盈和排空刺激而逐渐增厚,这种情况一般无需特殊治疗。
- 憋尿状态:长时间憋尿也可能导致膀胱壁暂时增厚,去除憋尿因素后多可恢复正常,也不用特殊处理。
2、病理性因素
- 慢性膀胱炎:长期慢性炎症刺激可引起膀胱壁充血、水肿和细胞增生,导致膀胱壁增厚,患者常伴有尿频、尿急、尿痛等症状,需遵医嘱根据致病菌进行抗感染治疗。
- 膀胱结石:结石的形成可对膀胱壁产生刺激,引发增生反应,使膀胱壁增厚,治疗需针对结石进行处理,如取石手术或药物治疗。
- 尿潴留:长期尿潴留会导致膀胱壁组织缺血缺氧、水肿和炎症反应,进而使膀胱壁增厚,需解除尿潴留,恢复膀胱正常功能。
针对膀胱壁增厚的具体原因进行治疗,如抗感染治疗、取石手术、解除梗阻等,医生会可根据病情选用合适的药物,如抗菌药物、α-受体阻滞剂、5α-还原酶抑制剂等。患者日常还要注意调整生活方式、适量饮水、避免憋尿、保持尿道口清洁等,有助于病情的恢复和预防并发症的发生。还应及时就医,接受专业医生的评估和治疗建议。

