从脑疝类型来看,常见的有小脑幕切迹疝、枕骨大孔疝等。小脑幕切迹疝若能在早期被发现并及时干预,患者的生存几率会有所提高。如果处理得当,在解除脑疝压迫后,患者神经功能恢复较好,部分患者能存活数年,甚至对预期寿命并不会产生严重影响。

- 但如果发现较晚,脑组织长时间受压,即使后续进行了治疗,也可能会因严重的神经功能损伤而导致寿命大幅缩短,可能仅存活数月或1-2年。枕骨大孔疝则更为凶险,由于其直接压迫延髓生命中枢,病情进展迅速,若不能在短时间内有效解除压迫,患者可能在数小时甚至更短时间内死亡;即便经过积极抢救,部分患者的生存时间也可能只有数天到数周。
- 治疗时机和效果对脑疝患者的寿命起着决定性作用。在脑疝发生的早期,若能及时发现并采取有效的治疗措施,如进行紧急的手术减压,去除引起颅内压增高的病因,患者的预后会相对较好。若手术成功,颅内压得到有效控制,患者神经功能逐渐恢复,生存时间可能会延长,一些患者可存活数年。
- 如果治疗时机延误,脑疝已经发展到较为严重的阶段,即使进行了手术等治疗,也可能因脑组织不可逆损伤,导致患者长期处于昏迷状态,生存时间可能仅有数月到1年。此外,术后若出现感染、再次出血等并发症,也会进一步缩短患者的寿命。
- 患者自身状况同样影响着生存时间。年轻且身体基础状况良好的患者,对手术和后续治疗的耐受性较强,在病情得到有效控制后,恢复能力相对较好,生存时间可能相对较长。而老年患者,尤其是本身伴有多种基础疾病,如心肺功能不全、糖尿病等的患者,治疗难度和风险会大大增加,恢复情况也不理想,生存时间往往较短。一般来说,老年脑疝患者的生存时间会比年轻患者缩短1-3年。
此外,患者的心理状态也会间接影响治疗效果和恢复情况,积极乐观的心态在一定程度上有助于提高身体的抵抗力,可能对延长生存时间有一定帮助。
脑疝患者的复查项目
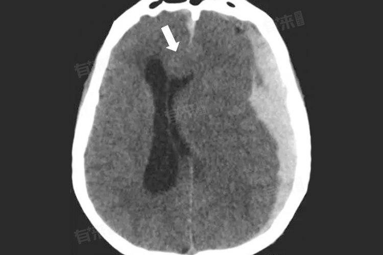
1、影像学检查:如CT或MRI扫描,用于评估颅内压变化及脑组织移位情况,是诊断和随访脑疝的关键工具。
2、神经系统评估:包括意识状态、瞳孔反应、肢体活动能力等,帮助判断神经功能损伤程度及其恢复状况。
3、生命体征监测:定期检查血压、心率、呼吸频率和体温,了解身体基本机能状态,预防并发症。
4、实验室检测:通过血液分析等手段,检查电解质平衡、感染指标等,确保内环境稳定,支持整体治疗。
5、康复进展评估:根据患者的具体情况,适时开展物理治疗与康复训练,促进功能恢复,并调整后续治疗计划。

