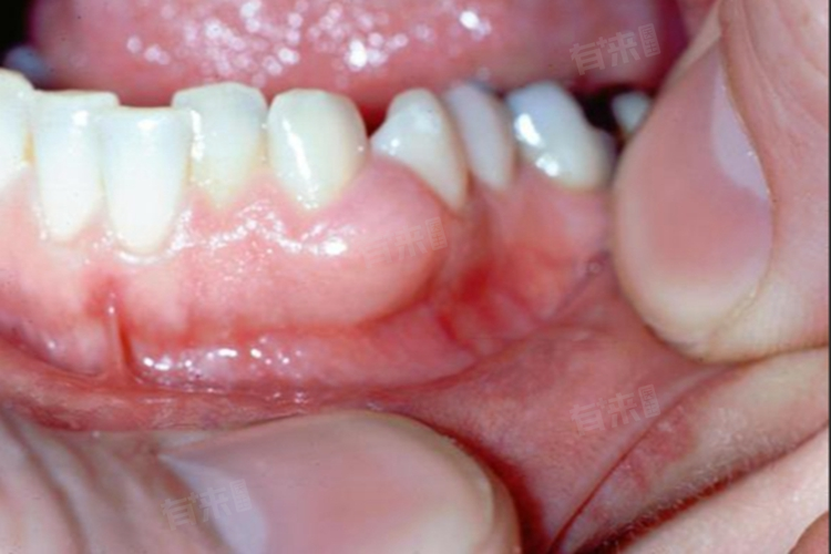
下牙龈外侧长了个硬包是不正常的。牙龈正常情况下应该是粉红色、质地坚韧、表面光滑且连续的,不会出现硬包。

- 随着年龄增长、咬合因素或局部慢性刺激等,牙槽骨可能会出现骨质增生。这种增生通常质地较硬,与牙槽骨相连,表面黏膜一般颜色正常,没有明显的红肿疼痛等炎症表现。其生长比较缓慢,可能在不经意间被发现。一般情况下,牙槽骨增生如果没有引起不适或影响口腔功能,可以不做特殊处理,但需要定期观察。
- 当牙齿的牙髓发生感染,炎症通过根尖孔扩散到根尖周围组织时,会引起根尖周炎。如果炎症长期得不到有效控制,可能会在牙龈外侧形成瘘管,表现为一个硬包。初期硬包可能质地较软,有波动感,后期会逐渐变硬。患者通常能感觉到对应的牙齿有咬合痛、叩痛,牙齿可能有龋坏、充填物或外伤史等。通过口腔检查、牙片等可以明确诊断,需要对患牙进行根管治疗,消除根尖炎症,硬包才会逐渐消退。
- 牙龈瘤是一种发生在牙龈组织的良性肿瘤,通常由局部刺激因素如牙菌斑、牙结石、不良修复体等长期刺激引起。一般表现为牙龈乳头或边缘龈的局限性增生,质地较硬,颜色可能与正常牙龈相似,也可能呈鲜红色或暗红色,易出血。牙龈瘤的治疗主要是手术切除,同时要去除局部刺激因素,以防止复发。
因此,下牙龈外侧长硬包是不正常的表现,可能预示着多种口腔疾病。如果发现这种情况,应及时到正规的口腔医疗机构就诊,通过详细的检查和诊断,明确病因,并采取相应的治疗措施,以避免病情进一步发展,影响口腔健康和功能。
下牙龈外侧长了个硬包的日常注意事项
1、使用牙线和漱口水:每天使用牙线清洁牙缝,能有效清除刷牙难以触及部位的食物残留。饭后或不方便刷牙时,使用含有杀菌成分的漱口水漱口,抑制口腔细菌生长,但漱口水不能替代刷牙和牙线。
2、均衡饮食:多吃富含维生素C、维生素B族以及蛋白质的食物,如新鲜的蔬菜水果、瘦肉、鱼类、蛋类等,有助于增强身体抵抗力和组织修复能力,促进牙龈组织的健康。
3、定期检查:即使硬包没有明显变化,也应定期到口腔科进行检查,以便医生根据具体情况进行诊断和处理,切勿自行挤压或挑破硬包,以免引起感染扩散。

