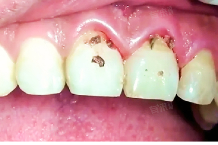
牙结石是由口腔内细菌、食物残渣与唾液中的矿物质钙化沉积而成,对牙齿危害多且严重。不仅会影响牙齿美观、造成口臭,还会持续刺激牙周组织,引发牙龈炎症、导致牙周炎等,严重影响口腔健康和正常咀嚼功能。

1、影响牙齿美观:牙结石多沉积于牙齿表面,尤其是靠近牙龈边缘处,呈现黄白色或棕黑色,严重影响牙齿外观。这不仅会使人在社交中缺乏自信,还可能因长期存在而使色素进一步渗入牙体组织,导致牙齿变色加重。
2、造成口臭:牙结石上的细菌分解食物残渣,产生硫化氢等有臭味的代谢产物,从而引发口臭。口臭不仅会影响个人社交,还可能因细菌长期作用,引发其他口腔疾病,形成恶性循环。
3、引发牙龈炎症:牙结石表面粗糙,大量细菌附着其上,会持续刺激牙龈组织,致使牙龈红肿、易出血。日常刷牙、进食时,牙龈出血现象会逐渐频繁。若不及时处理,炎症会进一步发展,对牙周组织造成不可逆损伤。
4、导致牙周炎:随着牙结石不断堆积,会向下延伸破坏牙周支持组织形成牙周袋。牙槽骨受炎症影响逐渐吸收,导致牙齿与牙槽骨的结合变松,牙齿出现不同程度的松动,最终可能不得不拔除患牙。
5、影响牙齿正常功能:当牙结石引发的牙周炎发展到一定程度,牙齿松动加剧,会影响正常咀嚼功能,导致进食不便,食物无法充分咀嚼,进而影响消化吸收,对身体健康造成不良影响。
牙结石对牙齿的影响是多方面且渐进性的,从牙龈炎症到牙齿脱落,危害逐步升级。为维护口腔健康,建议每半年到一年进行一次专业洗牙,去除牙结石。
牙结石的处理措施
- 洗牙:通过超声波洗牙,利用高频振动去除牙齿表面及牙龈下的牙结石,是常用的方法,可有效预防牙结石堆积引发的牙周疾病。
- 龈下刮治:当牙结石侵入牙周袋,洗牙无法彻底清除时,需进行龈下刮治。医生使用特制器械深入牙周袋,刮除牙根表面的牙结石、菌斑及病变组织,促进牙周组织恢复健康。
- 保持口腔卫生:每天早晚正确刷牙,配合使用牙线、牙缝刷等清洁工具,饭后及时漱口,减少食物残渣残留,抑制细菌滋生,延缓牙结石再次形成的速度。

